首页
伤感说说
动漫配图
心情说说
抖音文案
伤感图片
伤感说说:
伤感的句子说说心情
空间说说
心情说说
爱情说说
女生伤感说说
人生感悟
心情不好的说说
说说带图片
关于生活的说说
说说心情短语
qq空间说说带图片
个性说说
励志名言
一句话经典语录
感悟人生的经典句子
短句吧
情感故事
抖音文案
伤感图片:
伤感图片带字
非主流伤感图片
唯美伤感图片
女生伤感图片
唯美意境图片
悲伤的图片
唯美意境伤感图片
只有字的伤感图片
说说图片
伤心的图片
美甲图片
图片大全
情感图片
微信头像男
动态壁纸
动漫配图
伤感图片
首页
>
ct图片大全
ct图片大全,医院ct照片
为什么要重复查ct?
ct技术
长知识一起来认识市五院前沿设备64排ct
脑ct图片诊断
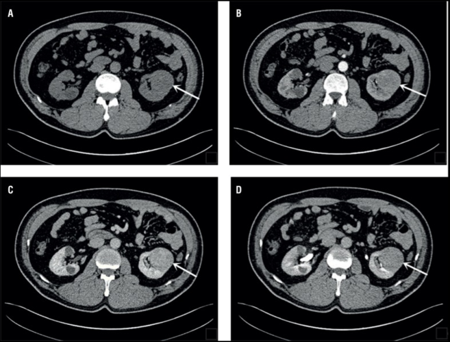
【病例】右肾嫌色细胞癌1例ct影像
更多推荐
医院ct照片
磁共振照片
做磁共振有图片吗
CT机图片
医院ct室大门图片
ct室图片
CT片子图片
医院核磁共振图片
拍CT图片
做ct图片
磁共振室图片
ct照片图片大全
脚ct图片大全
脚ct图片大全片子
ct图片胸片
ct片子图片
ct图片全身
ct怎么做的图片大全
ct照片图片大全搞笑
正常脑ct图片大全图解
正常脑ct图片大全
ct图片
正常ct肺图片大全
脚ct图片大全正常
正常肺ct片图片图解
女性全身ct图片
正常脑ct图片大全头颅
肺部ct图片
风景图片大全
正常脑ct图片