首页
伤感说说
动漫配图
心情说说
抖音文案
伤感图片
伤感说说:
伤感的句子说说心情
空间说说
心情说说
爱情说说
女生伤感说说
人生感悟
心情不好的说说
说说带图片
关于生活的说说
说说心情短语
qq空间说说带图片
个性说说
励志名言
一句话经典语录
感悟人生的经典句子
短句吧
情感故事
抖音文案
伤感图片:
伤感图片带字
非主流伤感图片
唯美伤感图片
女生伤感图片
唯美意境图片
悲伤的图片
唯美意境伤感图片
只有字的伤感图片
说说图片
伤心的图片
美甲图片
图片大全
情感图片
微信头像男
动态壁纸
动漫配图
伤感图片
首页
>
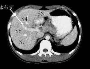
肝脏分段ct图谱
肝脏分段ct图谱,肝脏五叶八段解剖图
ct肝脏分段解析
肝脏的表面解剖及分叶分段
肝脏ct分段
肝脏在ct中的分叶.docx 10页
【ppt】正常肝脏ct解剖 – 影像ppt
更多推荐
肝脏五叶八段解剖图
肝脏分区8分法
肝脏分叶分段ct图像
肝脏ct分叶分段解剖图
肝脏ct分段解剖图
肝脏的5叶8段图片
肝脏的分叶分段解剖图
肝脏分段ct断面解剖图
肝叶分段ct示意图
ct肝脏分段图
肝脏分段ct
肝脏分段8段CT
肝脏分段图超声
肝脏分叶分段解剖图
肝叶分段图谱八段
肝脏分段图
肝脏的8个分段图
正常肝脏ct图
肝脏ct影像解剖图谱
肝脏ct解剖图
肝脏分段解剖图
肝脏ct图片
肝脏ct正常图片
肝脏分段
肝脏的8个分段
正常肝脏和肝癌ct图片
正常肝脏ct片子图片
肝脏ct解剖
肝脏ct断层解剖
肝脏CT