首页
伤感说说
动漫配图
心情说说
抖音文案
伤感图片
伤感说说:
伤感的句子说说心情
空间说说
心情说说
爱情说说
女生伤感说说
人生感悟
心情不好的说说
说说带图片
关于生活的说说
说说心情短语
qq空间说说带图片
个性说说
励志名言
一句话经典语录
感悟人生的经典句子
短句吧
情感故事
抖音文案
伤感图片:
伤感图片带字
非主流伤感图片
唯美伤感图片
女生伤感图片
唯美意境图片
悲伤的图片
唯美意境伤感图片
只有字的伤感图片
说说图片
伤心的图片
美甲图片
图片大全
情感图片
微信头像男
动态壁纸
动漫配图
伤感图片
首页
>
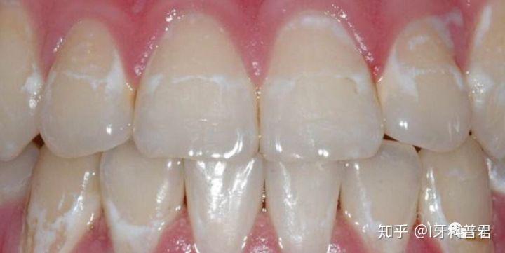
轻微牙釉质损伤图片
轻微牙釉质损伤图片,牙釉质裂纹
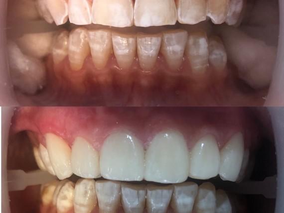
顾客牙釉质受损严重,是比较典型的氟斑牙,由于氟斑牙
作者供图) 再说了 牙齿表面的牙釉质非常坚硬 是人体最硬的部位
损伤了牙釉质该怎么修复呢?_口腔健康_口腔_医疗健康_医疗健康其他
牙齿矫正会导致牙釉质脱矿?该怎么解决?
牙釉质损伤的主要原因是什么_刷牙_医疗健康_医疗健康
更多推荐
牙釉质裂纹
没有牙釉质的牙齿图片
牙釉质是什么图片
牙齿磨损程度诊断图片
牙釉质是什么
牙釉质再生牙膏
牙釉质磨损
牙釉质掉了一块
牙釉质受损图片
美国再生牙成功了
牙釉质腐蚀
修复牙釉质
牙釉质发育不良图片
牙釉质缺失图片
氟斑牙程度图片
牙齿脱矿严重图
牙釉质损伤图片
牙釉质损伤
牙齿磨损
牙齿泛白脱钙图片
牙釉质发育不全
牙本质图片
牙釉质脱矿图片
宝宝牙釉质缺失图片
婴儿牙釉质发育不全图
牙釉质缺损
牙釉质裂纹图片
牙釉质脱矿
牙釉质脱落
轻度氟斑牙图片