首页
伤感说说
动漫配图
心情说说
抖音文案
伤感图片
伤感说说:
伤感的句子说说心情
空间说说
心情说说
爱情说说
女生伤感说说
人生感悟
心情不好的说说
说说带图片
关于生活的说说
说说心情短语
qq空间说说带图片
个性说说
励志名言
一句话经典语录
感悟人生的经典句子
短句吧
情感故事
抖音文案
伤感图片:
伤感图片带字
非主流伤感图片
唯美伤感图片
女生伤感图片
唯美意境图片
悲伤的图片
唯美意境伤感图片
只有字的伤感图片
说说图片
伤心的图片
美甲图片
图片大全
情感图片
微信头像男
动态壁纸
动漫配图
伤感图片
首页
>
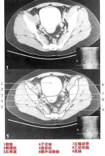
盆腔ct定位线图片
盆腔ct定位线图片,ct定位线身体定位图
盆腔ct平扫
女性盆腔ct解剖
男性盆腔ct断层
培训课件-盆腔ct检查.ppt
盆腔ct诊断精要.ppt
更多推荐
ct定位线身体定位图
ct平扫定位线定位图
ct摆位定位线图
ct检查每个部位定位线
ct定位线
头颅ct定位线示意图
头颅ct扫描定位线图片
ct头部扫描定位线图片
女性盆腔图片结构图ct
ct扫描定位线
ct扫描定位线解剖图
口腔全景片定位线图片
盆腔ct解剖图
正常女性盆腔ct图片
盆腔ct
男性盆腔ct解剖图
正常女性盆腔ct图谱
女性盆腔ct解剖图
盆腔ct报告
女性盆腔ct
正常女性盆腔ct影像图
女性盆腔ct断层解剖图
正常女性盆腔ct解剖图
颅底ct扫描范围定位图
女性盆腔具体位置图片
附件囊肿ct图片
甲状腺ct平扫定位图
女性盆腔图片结构图
女性盆腔疼痛位置图片
正常附件卵巢ct图片