首页
伤感说说
动漫配图
心情说说
抖音文案
伤感图片
伤感说说:
伤感的句子说说心情
空间说说
心情说说
爱情说说
女生伤感说说
人生感悟
心情不好的说说
说说带图片
关于生活的说说
说说心情短语
qq空间说说带图片
个性说说
励志名言
一句话经典语录
感悟人生的经典句子
短句吧
情感故事
抖音文案
伤感图片:
伤感图片带字
非主流伤感图片
唯美伤感图片
女生伤感图片
唯美意境图片
悲伤的图片
唯美意境伤感图片
只有字的伤感图片
说说图片
伤心的图片
美甲图片
图片大全
情感图片
微信头像男
动态壁纸
动漫配图
伤感图片
首页
>
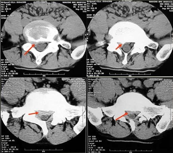
正常腰椎间盘ct图片
正常腰椎间盘ct图片,腰间盘突出片子怎么看
椎间盘突出示意图 轻度膨出时表现为椎间盘后缘正常肾形凹陷
腰椎间盘突出患者
ct测出来是腰椎间盘突出0.3厘米,准确吗?会有可能是膨出吗?能不能?
诊断:1.腰椎间盘突出症 2.腰骶神经根损伤
ct检查显示单纯"腰椎间盘突出",这并不是病!盲目治疗不可取
更多推荐
腰间盘突出片子怎么看
腰间盘突出ct图片
腰椎ct片子
正常腰椎间盘图片
正常腰椎ct图片
腰间盘突出ct图解
如何看ct腰椎间盘片子
正常腰椎ct图解
腰椎ct怎么看图解
女性腰间盘突出的症状
腰椎间盘突出ct图解
腰椎ct片图片讲解
正常腰椎ct
正常腰椎和不正常图片
腰椎ct片子怎么看
腰椎正常ct影像图
腰椎间盘ct片图解书
腰椎间盘突出ct图片
新手看腰椎ct片图解
正常腰椎间盘ct图解
腰间盘突出照片ct真实
正常的腰椎片子ct图片
ct椎间盘正常与突出图
腰椎间盘正常的影像图
腰椎间盘图片ct
ct图片腰间盘突出
腰椎间盘图片结构图
腰椎间盘图片位置图
腰椎间盘图片
腰椎图片正常