首页
伤感说说
动漫配图
心情说说
抖音文案
伤感图片
伤感说说:
伤感的句子说说心情
空间说说
心情说说
爱情说说
女生伤感说说
人生感悟
心情不好的说说
说说带图片
关于生活的说说
说说心情短语
qq空间说说带图片
个性说说
励志名言
一句话经典语录
感悟人生的经典句子
短句吧
情感故事
抖音文案
伤感图片:
伤感图片带字
非主流伤感图片
唯美伤感图片
女生伤感图片
唯美意境图片
悲伤的图片
唯美意境伤感图片
只有字的伤感图片
说说图片
伤心的图片
美甲图片
图片大全
情感图片
微信头像男
动态壁纸
动漫配图
伤感图片
首页
>
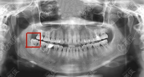
正位智齿
正位智齿,正位智齿图片
拔一颗智齿1500元合理吗看看这份收费标准就懂了
智齿萌出如果有这样的症状可要小心啦!
智齿,想说爱你不容易
下颌正位智齿拔除的价格
究竟什么是阻生智齿需要拔除吗
更多推荐
正位智齿图片
正位萌出的智齿图片
正位智齿长什么样子
下颌智齿
智齿位置
智齿拍片
智齿位置图
智齿
智齿盲袋
阻生智齿
拔智齿
头颅正位
长智齿
正位审判
智齿图片
智齿x光片
智齿可爱
智齿发炎
头颅正位片
骨盆正位
智齿的位置图片
正常的智齿图片
拔智齿疼吗
女祭司正位
骨盆正位片
智齿搞笑
阻生智齿图片
魔术师正位
髋关节正位片
髋关节正位