首页
伤感说说
动漫配图
心情说说
抖音文案
伤感图片
伤感说说:
伤感的句子说说心情
空间说说
心情说说
爱情说说
女生伤感说说
人生感悟
心情不好的说说
说说带图片
关于生活的说说
说说心情短语
qq空间说说带图片
个性说说
励志名言
一句话经典语录
感悟人生的经典句子
短句吧
情感故事
抖音文案
伤感图片:
伤感图片带字
非主流伤感图片
唯美伤感图片
女生伤感图片
唯美意境图片
悲伤的图片
唯美意境伤感图片
只有字的伤感图片
说说图片
伤心的图片
美甲图片
图片大全
情感图片
微信头像男
动态壁纸
动漫配图
伤感图片
首页
>
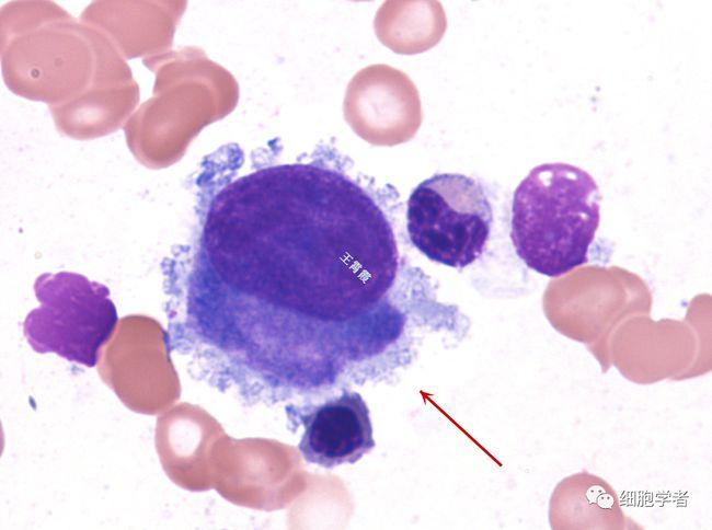
幼稚巨核细胞
幼稚巨核细胞,幼稚巨核细胞手绘图
巨核细胞:又分颗粒巨,产板巨和裸核幼稚巨核细胞:原始巨核细胞:巨核
幼稚巨核细胞 26
原始巨核细胞;2.幼稚巨核细胞;3.颗粒巨核细胞;4.
实验三 巨核细胞系统形态观察ppt
从mds/mpn到pmf,小巨核细胞带来的思考
更多推荐
幼稚巨核细胞手绘图
幼稚浆细胞
原始浆细胞
巨核细胞
幼稚淋巴细胞
产血小板巨核细胞
裸核型巨核细胞
颗粒型巨核细胞
产血小板型巨核细胞
原始巨核细胞
幼稚巨核细胞图片
产板型巨核细胞
颗粒巨核细胞
中幼红细胞
原始巨核细胞幼稚
幼巨核细胞
小巨核细胞
工作细胞单核细胞
工作细胞巨噬细胞
巨核细胞图片
小巨核细胞图片
工作细胞巨核球
巨嗜细胞
原始单核细胞
原始巨核细胞图片
细胞核移植
体细胞核移植
颗粒巨核细胞图片
产板型巨核细胞图片
颗粒型巨核细胞图片