首页
伤感说说
动漫配图
心情说说
抖音文案
伤感图片
伤感说说:
伤感的句子说说心情
空间说说
心情说说
爱情说说
女生伤感说说
人生感悟
心情不好的说说
说说带图片
关于生活的说说
说说心情短语
qq空间说说带图片
个性说说
励志名言
一句话经典语录
感悟人生的经典句子
短句吧
情感故事
抖音文案
伤感图片:
伤感图片带字
非主流伤感图片
唯美伤感图片
女生伤感图片
唯美意境图片
悲伤的图片
唯美意境伤感图片
只有字的伤感图片
说说图片
伤心的图片
美甲图片
图片大全
情感图片
微信头像男
动态壁纸
动漫配图
伤感图片
首页
>
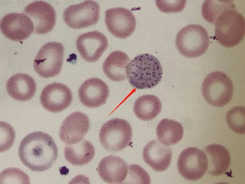
嗜碱性点彩红细胞图片
嗜碱性点彩红细胞图片,嗜碱性点彩红细胞
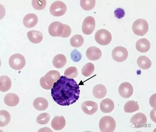
题干:请指出箭头所指细胞的名称a,嗜碱性粒细胞 b,异常淋巴细胞 c
▼「卡波环(cabot ring)」形态特征:在嗜多色性或嗜碱性点彩红细胞胞
嗜碱性点彩红细胞
第三十二期形态学培训答案解析 写美篇 第二题 嗜碱性点彩红细胞
2.嗜碱性点彩红细胞
更多推荐
嗜碱性点彩红细胞
嗜多色红细胞图片
嗜碱性点彩红细胞照片
嗜点彩红细胞图片
嗜碱点彩红细胞
点彩红细胞图片
点彩红细胞
嗜碱性点彩
工作细胞红细胞
红细胞巨噬细胞
红细胞图片
红细胞
红细胞图片显微镜
红细胞贫血
红细胞结构图
红细胞全身
红细胞形态
红细胞图片卡通
红细胞结构简图
靶形红细胞
红细胞分布宽度偏高
早幼红细胞
原始红细胞
中幼红细胞
红细胞显微镜
红细胞卡通
红细胞壁纸
红细胞手绘图
红细胞图片简笔画
原始红细胞手绘图