首页
伤感说说
动漫配图
心情说说
抖音文案
伤感图片
伤感说说:
伤感的句子说说心情
空间说说
心情说说
爱情说说
女生伤感说说
人生感悟
心情不好的说说
说说带图片
关于生活的说说
说说心情短语
qq空间说说带图片
个性说说
励志名言
一句话经典语录
感悟人生的经典句子
短句吧
情感故事
抖音文案
伤感图片:
伤感图片带字
非主流伤感图片
唯美伤感图片
女生伤感图片
唯美意境图片
悲伤的图片
唯美意境伤感图片
只有字的伤感图片
说说图片
伤心的图片
美甲图片
图片大全
情感图片
微信头像男
动态壁纸
动漫配图
伤感图片
首页
>
支气管肺炎ct图片
支气管肺炎ct图片,小叶性肺炎ct图片
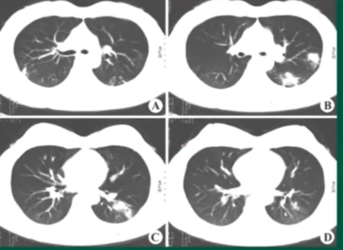
小叶性肺炎(支气管肺炎)
意义: 表明有支气管扩张,慢性支气管炎伴发的细支气管扩张等.
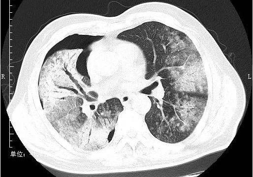
支气管肺炎(在支气管处有阴影,那块状影不是癌)
支气管囊肿ct表现为局部的透亮影.
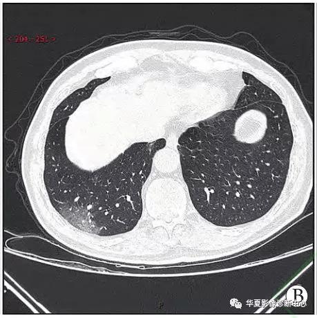
图6c 女性,35岁,职业暴露,大片实变影,内见充气支气管征
更多推荐
小叶性肺炎ct图片
支气管肺炎图片
间质性肺炎ct图片
支气管肺炎胸片
支气管肺炎CT
小儿支气管肺炎ct图片
普通肺炎ct表现图片
支气管肺炎图片胸片
支气管肺炎片子图片
支气管肺炎影像图片
支气管肺炎胸片图解
支气管肺炎发作图片
小儿支气管肺炎图片
支气管肺炎胸片表现图
支气管炎图片高清图片
支气管肺炎和肺炎区别
支气管肺炎胸片特点
小儿支气管肺炎片子图
小儿支气管肺炎胸片
肺炎ct图片
支气管肺炎切片
支气管肺炎x线表现
正常肺ct片图片图解
支气管肺炎思维导图
小儿肺炎片子图片
支气管肺炎严重吗
支气管肺炎
支气管肺炎的症状
支气管肺炎ppt
支气管肺炎传染吗