首页
伤感说说
动漫配图
心情说说
抖音文案
伤感图片
伤感说说:
伤感的句子说说心情
空间说说
心情说说
爱情说说
女生伤感说说
人生感悟
心情不好的说说
说说带图片
关于生活的说说
说说心情短语
qq空间说说带图片
个性说说
励志名言
一句话经典语录
感悟人生的经典句子
短句吧
情感故事
抖音文案
伤感图片:
伤感图片带字
非主流伤感图片
唯美伤感图片
女生伤感图片
唯美意境图片
悲伤的图片
唯美意境伤感图片
只有字的伤感图片
说说图片
伤心的图片
美甲图片
图片大全
情感图片
微信头像男
动态壁纸
动漫配图
伤感图片
首页
>
膀胱癌ct
膀胱癌ct,膀胱炎是什么症状表现
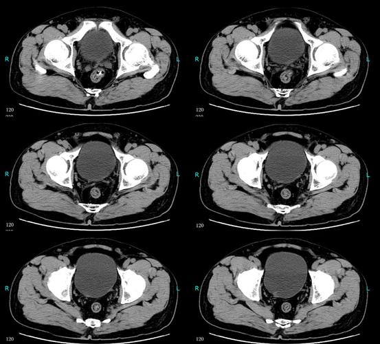
膀胱癌(低级别非浸润性尿路上皮癌)
膀胱癌有什么征兆如何预防膀胱癌发生
膀胱癌(低级别非浸润性尿路上皮癌)
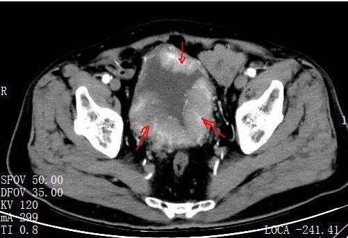
患者ct结果—箭头处为膀胱肿瘤
经过增强泌尿系ct,膀胱镜(活检)等检查,确诊为高级别尿路上皮癌,且
更多推荐
膀胱炎是什么症状表现
前列腺增生ct
膀胱癌b超报告单图片
膀胱癌图片
膀胱癌B超
膀胱癌
膀胱癌症状
膀胱癌真实
膀胱癌分期
膀胱癌尿液
膀胱癌ct表现图片
膀胱癌血尿图
老年人膀胱癌
膀胱癌ct图片及报告
膀胱癌的早期症状
膀胱癌图片早期
膀胱癌是怎么引起的
女性膀胱癌的症状
膀胱癌死亡率高吗
膀胱癌真实图片
膀胱癌图片尿液
正常膀胱ct图片
膀胱癌的早期症状图
膀胱癌图片菜花
膀胱ct图片怎么看
膀胱癌全切后挂袋图
膀胱癌菜花状图片
膀胱癌尿液真实图片