首页
伤感说说
动漫配图
心情说说
抖音文案
伤感图片
伤感说说:
伤感的句子说说心情
空间说说
心情说说
爱情说说
女生伤感说说
人生感悟
心情不好的说说
说说带图片
关于生活的说说
说说心情短语
qq空间说说带图片
个性说说
励志名言
一句话经典语录
感悟人生的经典句子
短句吧
情感故事
抖音文案
伤感图片:
伤感图片带字
非主流伤感图片
唯美伤感图片
女生伤感图片
唯美意境图片
悲伤的图片
唯美意境伤感图片
只有字的伤感图片
说说图片
伤心的图片
美甲图片
图片大全
情感图片
微信头像男
动态壁纸
动漫配图
伤感图片
首页
>
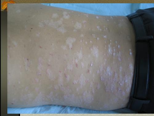
神经性皮炎和湿疹图片
神经性皮炎和湿疹图片,神经性皮炎药膏
神经性皮炎和湿疹的区别?_皮炎_湿疹_神经性皮炎_医疗
皮肤科(神经性皮炎-湿疹).ppt
湿疹与神经性皮炎的区别
神经性皮炎
这是什么皮肤病,有点医生说是神经性皮炎,有的说是湿疹
更多推荐
神经性皮炎药膏
神经性皮炎的图片大全
怎么判断是神经性皮炎
神经皮炎症状图片大全
神经性皮炎能根治吗
神经性皮炎 小腿
皮肤瘙痒症状对照图
神经性皮炎症状照片
手指神经性皮炎图片
神经性皮炎传染吗
神经性皮炎 早期症状
神经性皮炎用什么药
冬季季节性皮炎图片
皮炎湿疹对照图
神经性皮炎颈部
神经性皮炎鉴别图片
神经性皮炎变黑的图片
神经性皮炎脸上
神经性皮炎图片脸部
神经性皮炎怎么导致的
皮炎症状1000种图片
神经性皮炎前期图片
神经性皮炎怎么根治
神经性皮炎后期的图片
神经性皮炎图片
神经性皮炎的症状图片
神经性皮炎皮肤
神经性皮炎
神经性皮炎眼睑
神经性皮炎初期