首页
伤感说说
动漫配图
心情说说
抖音文案
伤感图片
伤感说说:
伤感的句子说说心情
空间说说
心情说说
爱情说说
女生伤感说说
人生感悟
心情不好的说说
说说带图片
关于生活的说说
说说心情短语
qq空间说说带图片
个性说说
励志名言
一句话经典语录
感悟人生的经典句子
短句吧
情感故事
抖音文案
伤感图片:
伤感图片带字
非主流伤感图片
唯美伤感图片
女生伤感图片
唯美意境图片
悲伤的图片
唯美意境伤感图片
只有字的伤感图片
说说图片
伤心的图片
美甲图片
图片大全
情感图片
微信头像男
动态壁纸
动漫配图
伤感图片
首页
>
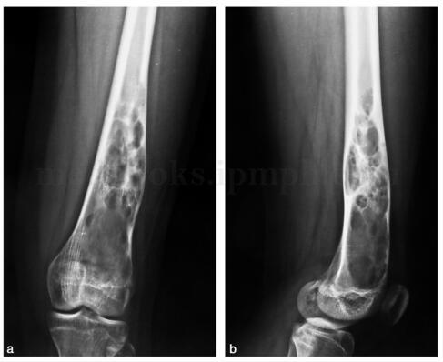
动脉瘤样骨囊肿
动脉瘤样骨囊肿,动脉瘤样骨囊肿影像
【每日一例 405期】动脉瘤样骨囊肿
动脉瘤样骨囊肿的影像学表现及鉴别诊断.ppt 25页
演讲沈靖南莫名腿疼警惕骨肿瘤医生谈血的教训和肺腑之言
动脉瘤样骨囊肿(abc)
如何区分单纯性骨囊肿和动脉瘤样骨囊肿?
更多推荐
动脉瘤样骨囊肿影像
脊柱动脉瘤样骨囊肿
骨巨细胞瘤
纤维性骨皮质缺损
骨囊肿
非骨化性纤维瘤
颌骨动脉瘤样骨囊肿
内生性软骨瘤
骨囊肿图片
骨化性纤维瘤
骨囊肿早期图片
动脉瘤样骨囊肿图片
骨囊肿ct图片
股骨骨囊肿
动脉瘤样骨囊肿ct表现
胫骨动脉瘤样骨囊肿
骨内腱鞘囊肿
骨囊肿和骨巨细胞瘤
肱骨骨囊肿
动脉瘤手术
动脉瘤
骨囊肿早期
胫骨骨囊肿图片
骨囊肿ct
动脉瘤针
动脉瘤CT
动脉瘤支架
手臂动脉瘤
动脉瘤夹闭术
脑动脉瘤