首页
伤感说说
动漫配图
心情说说
抖音文案
伤感图片
伤感说说:
伤感的句子说说心情
空间说说
心情说说
爱情说说
女生伤感说说
人生感悟
心情不好的说说
说说带图片
关于生活的说说
说说心情短语
qq空间说说带图片
个性说说
励志名言
一句话经典语录
感悟人生的经典句子
短句吧
情感故事
抖音文案
伤感图片:
伤感图片带字
非主流伤感图片
唯美伤感图片
女生伤感图片
唯美意境图片
悲伤的图片
唯美意境伤感图片
只有字的伤感图片
说说图片
伤心的图片
美甲图片
图片大全
情感图片
微信头像男
动态壁纸
动漫配图
伤感图片
首页
>
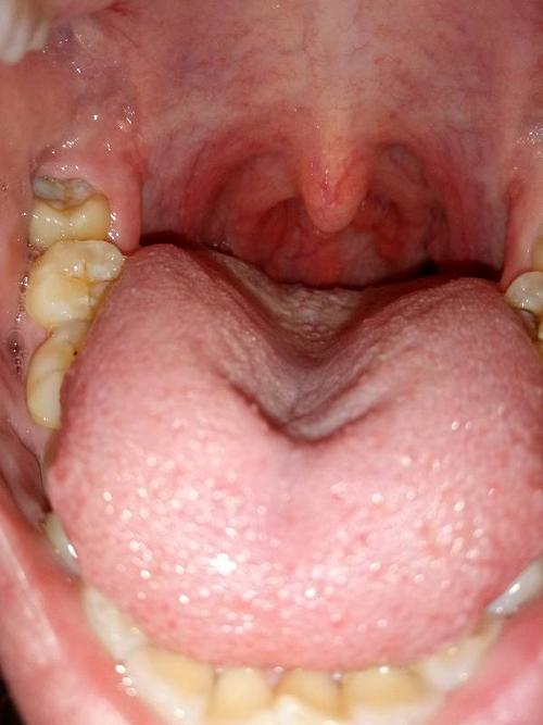
喉咙干燥是什么原因
喉咙干燥是什么原因,喉咙干燥
漳州正兴陈辉嗓子干痒喉咙疼痛扁导体发炎怎样才能预防
『 天气干燥 』喉咙干和环境的湿润程度也有关系,天气干燥的时候,皮肤
咽喉炎会引起发烧吗
喉咙里有小肉疙瘩,嗓子干涩发痒,但是不痛,时不时的咳嗽,每天早上
咽炎患者日常饮食需要注意什么?
更多推荐
喉咙干燥
口干舌燥是什么原因
喉咙干痒
脚后跟疼是什么原因
舌苔发黑是什么原因?
喉咙发炎
干燥管
干燥
极度干燥
感觉喉咙壁上粘了东西
跖疣是什么原因造成的
喉咙发炎图片
喉咙结构
喉咙后壁白色溃疡图片
喉咙息肉
痔疮是什么
正常喉咙的图片与发炎
喉咙疱疹图片
喉咙结构图
喉咙咳出一粒很臭图片
原因
喉咙草
喉咙正常图片
喉咙图片
球形干燥管
正常人的喉咙实拍图
正常健康的喉咙壁图片
北方干燥
小孩喉咙长泡的图片
喉咙滤泡图片