首页
伤感说说
动漫配图
心情说说
抖音文案
伤感图片
伤感说说:
伤感的句子说说心情
空间说说
心情说说
爱情说说
女生伤感说说
人生感悟
心情不好的说说
说说带图片
关于生活的说说
说说心情短语
qq空间说说带图片
个性说说
励志名言
一句话经典语录
感悟人生的经典句子
短句吧
情感故事
抖音文案
伤感图片:
伤感图片带字
非主流伤感图片
唯美伤感图片
女生伤感图片
唯美意境图片
悲伤的图片
唯美意境伤感图片
只有字的伤感图片
说说图片
伤心的图片
美甲图片
图片大全
情感图片
微信头像男
动态壁纸
动漫配图
伤感图片
首页
>
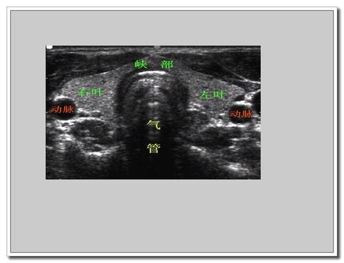
甲状腺超声
甲状腺超声,甲状腺超声图像
教你正确解读甲状腺超声的7种常见影像
超声入门正常甲状腺超声表现
常见甲状腺疾病的超声诊断:解剖,声像图及正常值
南昌博大甲状腺:七个问答,全面了解甲状腺结节_超声
甲状腺超声报告怎么看?
更多推荐
甲状腺超声图像
胎儿超声
甲状腺B超
甲状腺超声测量示意图
甲状腺超声正常值
甲状腺上下极超声图片
甲状腺超声肌肉
甲状腺测量示意图
甲状腺超声解剖图
甲状腺超声诊断
甲状腺结节超声
甲状腺超声造影
甲状腺腺瘤超声图片
甲亢超声
甲状腺上下极怎么分
甲状腺上下极分法图解
甲状腺上下极区分图片
甲状腺超声标准测量图
甲状腺上下级超声图谱
甲状腺超声上下极图
甲状腺彩超上中下极图
甲状腺超声解剖
甲状腺超声报告
甲状腺
甲状腺正常
甲状腺位置
甲状腺瘤
甲状腺肿大
甲状腺的主要症状
甲状腺图片