首页
伤感说说
动漫配图
心情说说
抖音文案
伤感图片
伤感说说:
伤感的句子说说心情
空间说说
心情说说
爱情说说
女生伤感说说
人生感悟
心情不好的说说
说说带图片
关于生活的说说
说说心情短语
qq空间说说带图片
个性说说
励志名言
一句话经典语录
感悟人生的经典句子
短句吧
情感故事
抖音文案
伤感图片:
伤感图片带字
非主流伤感图片
唯美伤感图片
女生伤感图片
唯美意境图片
悲伤的图片
唯美意境伤感图片
只有字的伤感图片
说说图片
伤心的图片
美甲图片
图片大全
情感图片
微信头像男
动态壁纸
动漫配图
伤感图片
首页
>
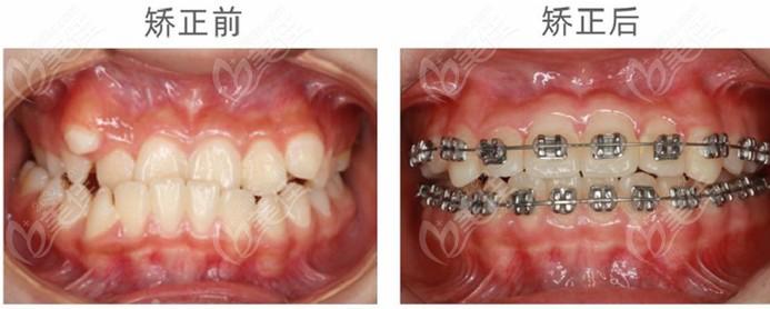
牙齿平导前后效果对比
牙齿平导前后效果对比,牙齿矫正平导图片
牙齿矫正前后对比效果图
牙齿矫正前后对比
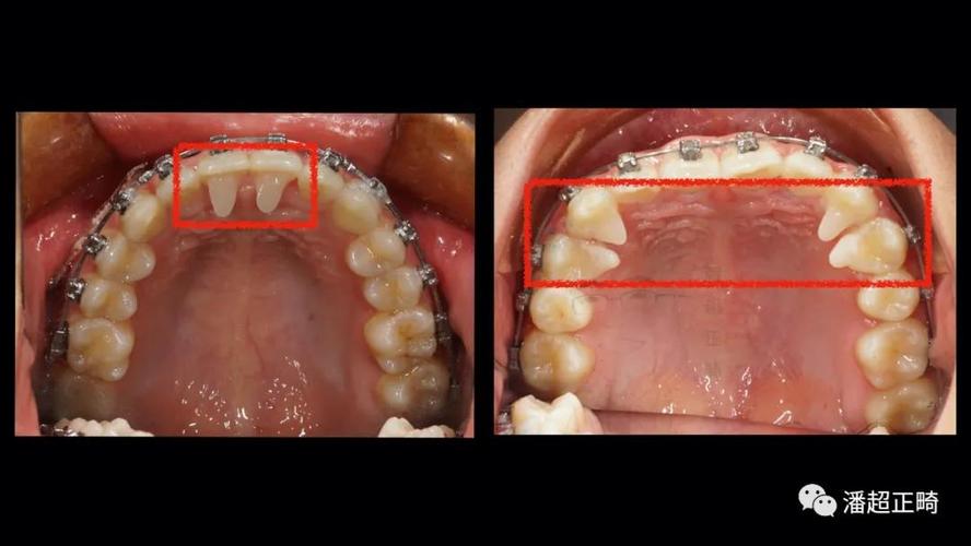
如果上前牙非常舌倾也可将树脂平导粘在3,4上
牙套中-平导前后对比图
牙齿矫正前后对比
更多推荐
牙齿矫正平导图片
正畸的平导和斜导照片
平导矫正器效果图
平导矫正器图片
牙齿矫正前后对比
吴宣仪牙齿前后对比
牙齿矫正前后对比照片
牙齿美白前后对比
牙齿平导
牙齿对比
刘涛牙齿前后对比照
吴宣仪牙齿对比
牙齿修复对比
牙齿对比黄白
牙齿美白对比
牙齿影响脸型对比照
牙齿矫正导板图片
牙齿美白对比高清图
吴宣仪烤瓷牙图片对比
牙齿导萌术
儿童牙齿导萌术
刘涛牙齿磨小后照片
高圆圆牙齿
刘涛牙齿300万
范冰冰牙齿
明星牙齿照片
杨幂下牙只有6颗
平导