首页
伤感说说
动漫配图
心情说说
抖音文案
伤感图片
伤感说说:
伤感的句子说说心情
空间说说
心情说说
爱情说说
女生伤感说说
人生感悟
心情不好的说说
说说带图片
关于生活的说说
说说心情短语
qq空间说说带图片
个性说说
励志名言
一句话经典语录
感悟人生的经典句子
短句吧
情感故事
抖音文案
伤感图片:
伤感图片带字
非主流伤感图片
唯美伤感图片
女生伤感图片
唯美意境图片
悲伤的图片
唯美意境伤感图片
只有字的伤感图片
说说图片
伤心的图片
美甲图片
图片大全
情感图片
微信头像男
动态壁纸
动漫配图
伤感图片
首页
>
脑梗ct图片怎么看
脑梗ct图片怎么看,脑梗ct图片解说图
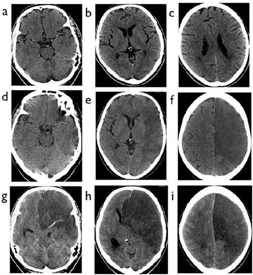
6 个病例学会「脑梗死」的 4 大 ct 征象
没有mri,超早期如何利用ct诊断脑梗死
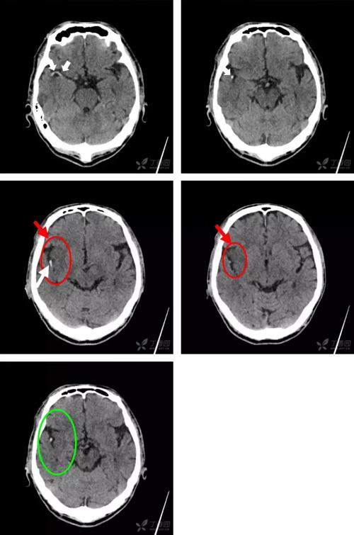
掌握5个征象,ct也能诊断超早期脑梗死
超急性期大面积脑梗死 ct 平扫表现
脑梗死患者的头部ct,你真的会看吗?丨实战读片
更多推荐
脑梗ct图片解说图
脑ct图片讲解
严重脑梗塞图片
脑梗ct片子图解
正常的脑ct图片报告单
脑梗图片ct
脑梗塞ct表现图片
轻微脑梗ct报告单图片
脑梗图片怎么看
脑ct图片怎么看
肺ct片子怎么看图片
肺ct图片怎么看图解
脑梗塞ct图片解说图
脑ct图片怎么看讲解
肺的ct图片怎么看
脑部ct怎么看图解
肺部结节ct图片怎么看
直肠癌ct图片怎样看
ct怎么看图解片子
脑出血图片ct
ct怎么看图解肺部
ct图片怎样看懂
ct图怎么看
脑梗图片
肺部结节ct图片图解
腰间盘ct图片怎么看
脑积水ct图片
ct怎么看图解
ct怎么看图解正常
新手看脑部ct片图解