首页
伤感说说
动漫配图
心情说说
抖音文案
伤感图片
伤感说说:
伤感的句子说说心情
空间说说
心情说说
爱情说说
女生伤感说说
人生感悟
心情不好的说说
说说带图片
关于生活的说说
说说心情短语
qq空间说说带图片
个性说说
励志名言
一句话经典语录
感悟人生的经典句子
短句吧
情感故事
抖音文案
伤感图片:
伤感图片带字
非主流伤感图片
唯美伤感图片
女生伤感图片
唯美意境图片
悲伤的图片
唯美意境伤感图片
只有字的伤感图片
说说图片
伤心的图片
美甲图片
图片大全
情感图片
微信头像男
动态壁纸
动漫配图
伤感图片
首页
>
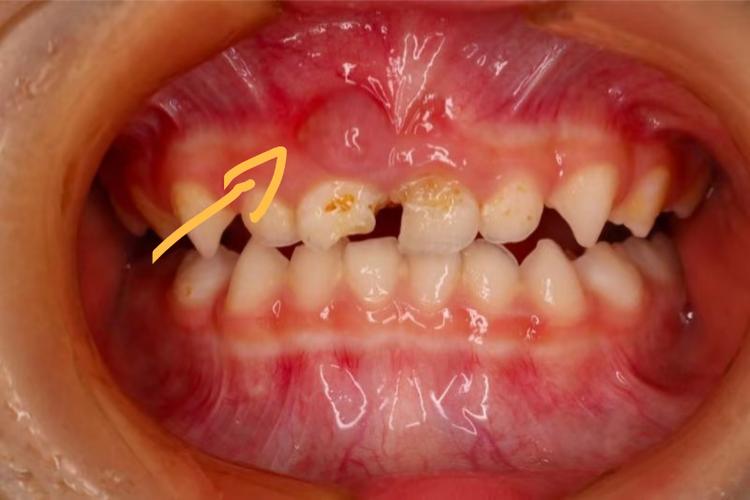
儿童牙龈囊肿图片
儿童牙龈囊肿图片,儿童牙龈囊肿
牙龈上长脓包,挤掉后还反复长出,怎么回事?
牙龈囊肿的介绍
小朋友上牙龈长出了一个肉包,有懂的帮忙看
把牙龈上的包戳破,脓流出来不就好了?
孩子牙龈长包是怎么回事呢
更多推荐
儿童牙龈囊肿
儿童牙龈癌图片
儿童牙龈脓包图片
儿童牙龈上长肉疙瘩图
儿童牙龈炎症状图片
儿童牙龈瘤图片
儿童牙龈发炎图片
牙龈刺破放脓图片
牙龈囊肿图片拍片
儿童换牙牙龈红肿图片
儿童牙龈上长牙图片
牙龈囊肿图片
儿童牙龈瘘管图片
儿童牙龈上长龅牙图片
牙龈囊肿图片开刀
儿童牙龈撕裂图片
严重的牙龈囊肿图片
儿童换牙牙龈肉芽图片
牙龈囊肿ct图片
儿童牙龈溃疡图片
儿童口腔囊肿图片
儿童牙根刺破牙龈图片
儿童门牙牙龈突出图片
儿童牙龈发黑图片
儿童颌下囊肿图片
牙龈囊肿的症状图片
牙齿囊肿图片
儿童喉气囊肿图片
牙根囊肿图片
牙齿长到牙龈上龈图片