首页
伤感说说
动漫配图
心情说说
抖音文案
伤感图片
伤感说说:
伤感的句子说说心情
空间说说
心情说说
爱情说说
女生伤感说说
人生感悟
心情不好的说说
说说带图片
关于生活的说说
说说心情短语
qq空间说说带图片
个性说说
励志名言
一句话经典语录
感悟人生的经典句子
短句吧
情感故事
抖音文案
伤感图片:
伤感图片带字
非主流伤感图片
唯美伤感图片
女生伤感图片
唯美意境图片
悲伤的图片
唯美意境伤感图片
只有字的伤感图片
说说图片
伤心的图片
美甲图片
图片大全
情感图片
微信头像男
动态壁纸
动漫配图
伤感图片
首页
>
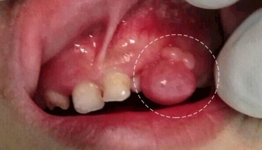
儿童牙龈长包图片
儿童牙龈长包图片,儿童牙龈长脓包怎么治
孩子牙龈长包,吃点消炎药就能好吗?
孩子牙龈肿包 牙根吸收_拔牙_母婴_育儿经验
上牙龈长了个大包,有几天了也不见小,不碰就不会疼,请问这是怎么回事
小朋友上牙龈长出了一个肉包,有懂的帮忙看
牙齿长脓包,这种是上火引起的吗?
更多推荐
儿童牙龈长脓包怎么治
儿童牙龈长牙
儿童牙龈长脓包
儿童牙龈脓包图片
儿童牙龈上长牙图片
儿童牙龈上长龅牙图片
小孩牙龈长包图片
儿童换牙牙龈红肿图片
宝宝长牙牙龈鼓包图片
牙龈长包图片
儿童换牙牙龈肉芽图片
儿童牙龈发炎图片
牙齿长到牙龈上龈图片
儿童牙龈发黑图片
儿童牙龈撕裂图片
儿童牙根刺破牙龈图片
宝宝上牙龈鼓牙包图片
儿童牙龈溃疡图片
儿童牙龈瘘管图片
儿童牙龈癌图片
婴儿牙龈长黑包图片
儿童牙龈长肉疙瘩图片
小孩牙龈鼓包图片
婴儿出牙前的牙包图片
牙龈肿包的图片脓包
小孩牙龈长个肉包图片
婴儿快出牙鼓牙包图片
牙龈肿包的图片
牙龈鼓包图片
牙龈上长了个肉包图片