首页
伤感说说
动漫配图
心情说说
抖音文案
伤感图片
伤感说说:
伤感的句子说说心情
空间说说
心情说说
爱情说说
女生伤感说说
人生感悟
心情不好的说说
说说带图片
关于生活的说说
说说心情短语
qq空间说说带图片
个性说说
励志名言
一句话经典语录
感悟人生的经典句子
短句吧
情感故事
抖音文案
伤感图片:
伤感图片带字
非主流伤感图片
唯美伤感图片
女生伤感图片
唯美意境图片
悲伤的图片
唯美意境伤感图片
只有字的伤感图片
说说图片
伤心的图片
美甲图片
图片大全
情感图片
微信头像男
动态壁纸
动漫配图
伤感图片
首页
>
锁骨青枝骨折图片
锁骨青枝骨折图片,锁骨带图片
锁骨骨折微创治疗之mipo
锁骨骨折
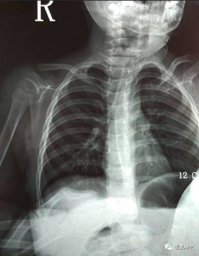
小儿锁骨青枝骨折一例
【求助】五个月大婴儿不慎跌落导致右侧锁骨青枝骨折
小儿锁骨青枝骨折一例
更多推荐
锁骨带图片
锁骨青枝骨折
儿童锁骨青枝骨折图片
青枝骨折图片
腓骨青枝骨折
儿童青枝骨折图片
尺骨青枝骨折
青枝骨折图解
手腕青枝骨折
青枝骨折
骨折图片
青枝骨折x线
青枝骨折影像
儿童青枝骨折
青枝骨折是什么意思
骨折包扎图片
胫腓骨骨折
跖骨骨折
锁骨发型图片
肱骨髁上骨折
股骨粗隆间骨折
股骨骨折
胫骨平台骨折
骨折
脚踝骨折
手骨折
粉碎性骨折
骨折真实
骨折x光片
腿骨折