首页
伤感说说
动漫配图
心情说说
抖音文案
伤感图片
伤感说说:
伤感的句子说说心情
空间说说
心情说说
爱情说说
女生伤感说说
人生感悟
心情不好的说说
说说带图片
关于生活的说说
说说心情短语
qq空间说说带图片
个性说说
励志名言
一句话经典语录
感悟人生的经典句子
短句吧
情感故事
抖音文案
伤感图片:
伤感图片带字
非主流伤感图片
唯美伤感图片
女生伤感图片
唯美意境图片
悲伤的图片
唯美意境伤感图片
只有字的伤感图片
说说图片
伤心的图片
美甲图片
图片大全
情感图片
微信头像男
动态壁纸
动漫配图
伤感图片
首页
>
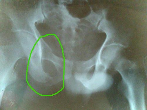
左侧坐骨支骨折图片
左侧坐骨支骨折图片,坐骨支骨图片
30 13:23:10坐骨支骨折 某男,48岁,因翻车砸伤骨盆,致左侧坐骨支骨折
2013-12-07 陶威宇 医师 8月1号去医院复查了,左侧坐骨及耻骨骨质形态
右骨盆坐骨和趾骨骨折能评定上残疾吗?
左侧坐骨病变,请教!
男,49岁,骨盆,双侧耻骨坐骨支骨折!
更多推荐
坐骨支骨图片
坐骨上下支骨折图片
坐骨支在哪个位置图片
坐骨骨折图片
坐骨支
坐骨图片
耻骨骨折长骨痂的图片
左侧跟骨骨折图片
左侧桡骨远端骨折图片
右侧桡骨远端骨折图片
骨盆与坐骨图片
坐骨图片构造图解
坐骨骨折
左侧肋骨下鼓包图片
坐骨棘位置图片
坐骨在哪个位置图片
坐骨在人的位置图片
坐骨结节图片
坐骨的准确位置图片
骶骨图片
尾骨图片位置示意图
胫腓骨骨折
坐骨耻骨
跖骨骨折
肱骨髁上骨折
坐骨棘位置示意图
左侧卧位图片
正确的左侧卧图片
坐骨神经准确位置图片
坐骨结节位置图