首页
伤感说说
动漫配图
心情说说
抖音文案
伤感图片
伤感说说:
伤感的句子说说心情
空间说说
心情说说
爱情说说
女生伤感说说
人生感悟
心情不好的说说
说说带图片
关于生活的说说
说说心情短语
qq空间说说带图片
个性说说
励志名言
一句话经典语录
感悟人生的经典句子
短句吧
情感故事
抖音文案
伤感图片:
伤感图片带字
非主流伤感图片
唯美伤感图片
女生伤感图片
唯美意境图片
悲伤的图片
唯美意境伤感图片
只有字的伤感图片
说说图片
伤心的图片
美甲图片
图片大全
情感图片
微信头像男
动态壁纸
动漫配图
伤感图片
首页
>
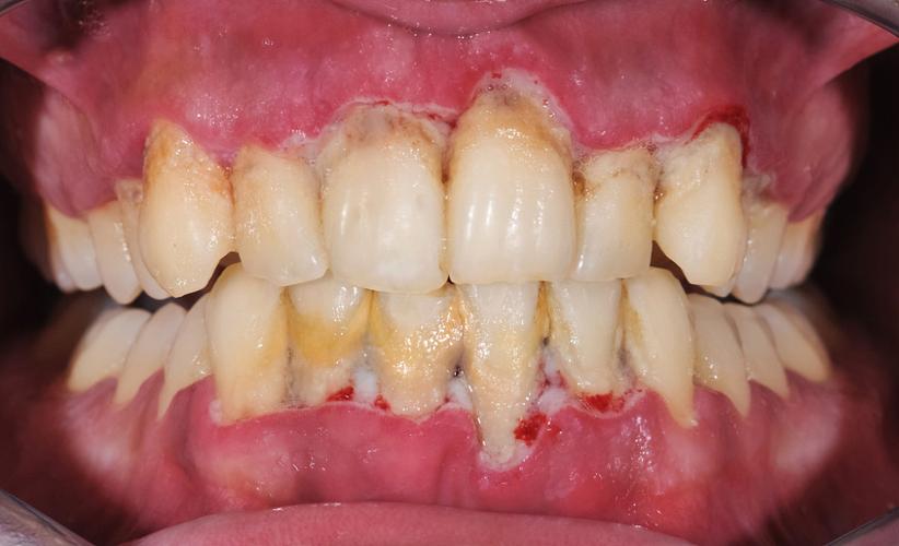
牙齿松动
牙齿松动,牙齿脱落
牙齿松动了怎么办?这些方法能帮到你
牙齿出现松动时
牙齿松动,难道只能拔掉它吗?
牙齿松动,就一定要拔牙吗?医生:做好这4点,或能避免
年纪轻轻,牙齿松动,闹哪样?
更多推荐
牙齿脱落
牙龈红肿出血
牙龈松动
按摩牙龈
洁牙对比
牙松
牙齿松动程度
烤瓷牙失败
抠牙结石
牙齿松动等级
牙石卡通
牙齿缺失漫画
儿童牙齿松动
咬合创伤
牙齿移位
老年人牙齿
牙齿松动卡通图片
牙齿松动图片
牙缺失
老人牙齿松动
牙齿肿胀
金属托槽
洗牙动图
牙齿疼痛
检查牙齿
无牙颌
牙周炎图片症状图片
牙根吸收
多颗牙缺失
牙齿残根