首页
伤感说说
动漫配图
心情说说
抖音文案
伤感图片
伤感说说:
伤感的句子说说心情
空间说说
心情说说
爱情说说
女生伤感说说
人生感悟
心情不好的说说
说说带图片
关于生活的说说
说说心情短语
qq空间说说带图片
个性说说
励志名言
一句话经典语录
感悟人生的经典句子
短句吧
情感故事
抖音文案
伤感图片:
伤感图片带字
非主流伤感图片
唯美伤感图片
女生伤感图片
唯美意境图片
悲伤的图片
唯美意境伤感图片
只有字的伤感图片
说说图片
伤心的图片
美甲图片
图片大全
情感图片
微信头像男
动态壁纸
动漫配图
伤感图片
首页
>
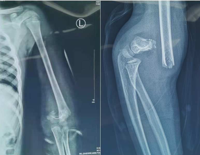
屈曲型肱骨髁上骨折
屈曲型肱骨髁上骨折,骨折伸直型和屈曲型图
接诊的创伤骨科兰海峰副主任医师介绍,由于5-12岁的儿童肱骨髁上部位
肱骨髁上骨折 (恢复)ppt
肱骨髁上,外髁,内上髁骨折
肱骨髁上骨折ppt课件.ppt
肱骨髁上解剖图
更多推荐
骨折伸直型和屈曲型图
肱骨髁上骨折屈曲型图
桡骨尺骨
垂腕
伸直型骨折示意图
colles与smith骨折图解
colles骨折图片
Smith骨折
肱骨髁上骨折图片
屈曲型桡骨远端骨折
肱骨髁上骨折伸直型
barton骨折
肱骨髁上骨折分型图片
肱骨髁上骨折分型
colles与smith骨折鉴别
伸直型桡骨远端骨折
肱骨髁上骨折屈曲
伸直型肱骨髁上骨折
肱骨髁上骨折
肱骨内上髁骨折
肱骨髁上骨折解剖图
肱骨髁骨折
伸直肱骨髁上骨折图片
肱骨髁间骨折
肱骨外髁骨折
肱骨外髁颈骨折
股骨髁骨折
肱骨内上髁
肱骨髁上
胫骨髁骨折