首页
伤感说说
动漫配图
心情说说
抖音文案
伤感图片
伤感说说:
伤感的句子说说心情
空间说说
心情说说
爱情说说
女生伤感说说
人生感悟
心情不好的说说
说说带图片
关于生活的说说
说说心情短语
qq空间说说带图片
个性说说
励志名言
一句话经典语录
感悟人生的经典句子
短句吧
情感故事
抖音文案
伤感图片:
伤感图片带字
非主流伤感图片
唯美伤感图片
女生伤感图片
唯美意境图片
悲伤的图片
唯美意境伤感图片
只有字的伤感图片
说说图片
伤心的图片
美甲图片
图片大全
情感图片
微信头像男
动态壁纸
动漫配图
伤感图片
首页
>
轻微骨裂图片右手
轻微骨裂图片右手,轻微骨裂图片
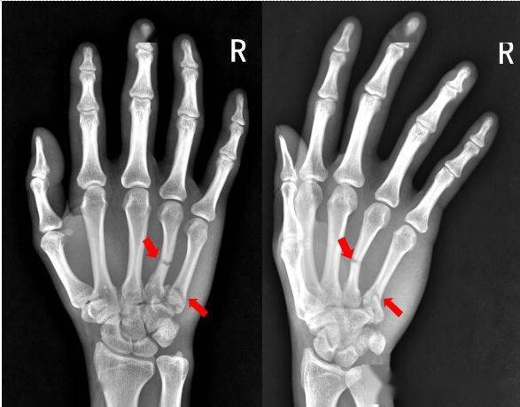
右手第五掌骨骨折
右手尺骨远段骨折,36岁,20天了,现在夹板自己拿了,也能稍微活动了
病例2,诊断为右手第五掌骨基底部骨折.
右手掌骨骨折,右手骨折太煎熬了.有什么好方法让我熬过这段时间吗
右手第五掌骨骨折(1-5.
更多推荐
轻微骨裂图片
脚踝轻微骨裂图片
骨折和骨裂的图片
骨裂的片子图片
骨裂图片
小腿骨裂图片
脚踝骨裂图片
骨裂右手
轻微骨裂
手腕骨裂
轻微腹肌图片
灰指甲图片轻微
肋骨骨裂
分清左手右手图片
轻微面瘫图片
髌骨骨裂
男生轻微腹肌图片
骨裂x片
右手图片
骨裂
脚踝骨裂
轻微灰指甲的症状图片
骨裂x光片
骨裂的症状
小腿骨裂
轻微水痘图片
轻微痔疮图片
轻微手足口病图片大全
女人轻微痔疮图片
女生轻微脚气图片