首页
伤感说说
动漫配图
心情说说
抖音文案
伤感图片
伤感说说:
伤感的句子说说心情
空间说说
心情说说
爱情说说
女生伤感说说
人生感悟
心情不好的说说
说说带图片
关于生活的说说
说说心情短语
qq空间说说带图片
个性说说
励志名言
一句话经典语录
感悟人生的经典句子
短句吧
情感故事
抖音文案
伤感图片:
伤感图片带字
非主流伤感图片
唯美伤感图片
女生伤感图片
唯美意境图片
悲伤的图片
唯美意境伤感图片
只有字的伤感图片
说说图片
伤心的图片
美甲图片
图片大全
情感图片
微信头像男
动态壁纸
动漫配图
伤感图片
首页
>
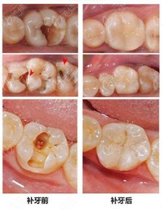
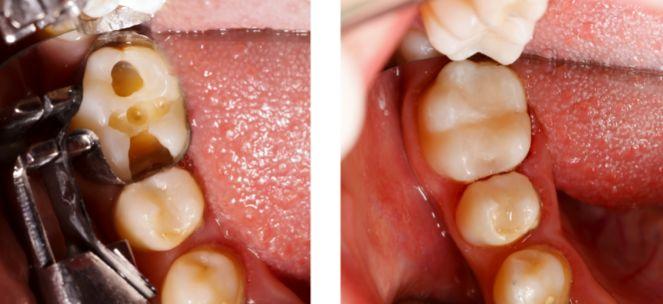
补牙需要多久
补牙需要多久,补牙后需要做牙套吗
北京的儿童医院补牙一般多少钱?这个附带医院介绍的价格表属实不错!
【上海圣贝口腔小tips】补牙患者都好奇:为什么补牙要
孩子补牙时要注意什么?北京五洲妇儿医院口腔科大夫来
补牙要多久?先看看98蛀牙情况96辣眼睛_补牙_蛀牙
补牙需要注意些什么?
更多推荐
补牙后需要做牙套吗
补牙洞需要多少钱
后牙补牙
补牙牙套
补牙
补牙前后
补牙后带牙套的图片
牙癌能活多久
补牙对比
补牙过程
拔智齿要多久恢复
补牙材料
补牙工具
补牙洞
补牙价格表
补牙图片
树脂补牙
儿童补牙
补牙过程图解
补牙过程图
补牙效果图
补牙卡通
补牙材料价格表
儿童补牙价目表
楔状缺损补牙图解
还要多久
纹身要多久
牙冠套
多久
隆胸多久变软