首页
伤感说说
动漫配图
心情说说
抖音文案
伤感图片
伤感说说:
伤感的句子说说心情
空间说说
心情说说
爱情说说
女生伤感说说
人生感悟
心情不好的说说
说说带图片
关于生活的说说
说说心情短语
qq空间说说带图片
个性说说
励志名言
一句话经典语录
感悟人生的经典句子
短句吧
情感故事
抖音文案
伤感图片:
伤感图片带字
非主流伤感图片
唯美伤感图片
女生伤感图片
唯美意境图片
悲伤的图片
唯美意境伤感图片
只有字的伤感图片
说说图片
伤心的图片
美甲图片
图片大全
情感图片
微信头像男
动态壁纸
动漫配图
伤感图片
首页
>
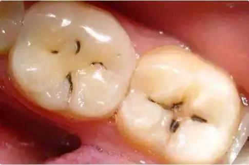
龋齿初期图片
龋齿初期图片,龋齿的发展过程图片
龋齿蛀牙能用电动牙刷吗口腔师总结10个避坑指南
右上第二磨牙继发龋树脂再充填1例
牙齿上的"黑线",是蛀牙吗?
【医疗科普】预防龋齿要从宝宝做起,不良的饮食习惯会
蛀牙初期 症状:牙齿上有小黑线和小黑点,牙斑 做法:初期是预防的zui
更多推荐
龋齿的发展过程图片
龋齿的三个阶段图
后槽牙侧面龋齿图片
龋齿洞型分类6类图片
轻微龋齿图片
牙齿浅龋的图片
什么叫龋齿图片
龋齿不同程度的照片
浅龋齿要补吗
龋白斑图片
龋齿图片儿童 前期
牙龈炎的症状表现图片
龋齿照片
幼儿龋齿
幼儿龋齿图片
龋齿初期
牙齿腐烂图片
龋齿洞
龋齿补牙
龋齿示意图
龋齿发展过程示意图
儿童严重龋齿图片
龋齿严重图片
牙齿上的黑线是什么
龋齿图片儿童 龋洞
龋齿病
龋齿变化过程的图片
什么是龋齿?
龋齿阶段
龋齿是怎么形成的原因