首页
伤感说说
动漫配图
心情说说
抖音文案
伤感图片
伤感说说:
伤感的句子说说心情
空间说说
心情说说
爱情说说
女生伤感说说
人生感悟
心情不好的说说
说说带图片
关于生活的说说
说说心情短语
qq空间说说带图片
个性说说
励志名言
一句话经典语录
感悟人生的经典句子
短句吧
情感故事
抖音文案
伤感图片:
伤感图片带字
非主流伤感图片
唯美伤感图片
女生伤感图片
唯美意境图片
悲伤的图片
唯美意境伤感图片
只有字的伤感图片
说说图片
伤心的图片
美甲图片
图片大全
情感图片
微信头像男
动态壁纸
动漫配图
伤感图片
首页
>
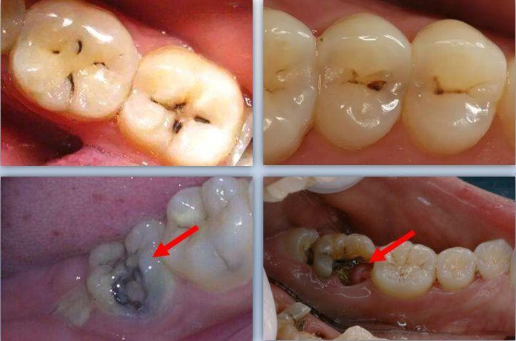
龋齿
龋齿,早期龋齿
走进口腔——龋病的危害
如何预防儿童龋齿(蛀牙)的发生?
儿童龋齿的8大危害性
龋齿是怎么形成的荷马口腔为你讲解
什么是龋齿?_龋齿_医疗健康_医疗健康其他
更多推荐
早期龋齿
窝沟浅龋
小朋友龋齿
龋齿图片 初期
龋齿症状
牙齿里面发黑怎么解决
宝宝门牙龋齿
龋齿牙片
牙齿黑烂了怎么办
牙龈黑色是怎么回事
早期邻面龋齿图片
龋齿是怎么形成的原因
氟斑牙怎么才能变白
牙坏了
牙齿有黑点
牙齿小黑点
智齿横着
牙齿空了
牙不整齐
牙疼的照片
牙齿牙龈处发黑
幼儿龋齿图片
龋齿的照片
牙齿侧面有个洞怎么办
满口烂牙
牙齿咬合面上缝隙发黑
牙齿有个小洞怎么处理
婴幼儿牙齿
牙结石照片
拔智齿价格图