首页
伤感说说
动漫配图
心情说说
抖音文案
伤感图片
伤感说说:
伤感的句子说说心情
空间说说
心情说说
爱情说说
女生伤感说说
人生感悟
心情不好的说说
说说带图片
关于生活的说说
说说心情短语
qq空间说说带图片
个性说说
励志名言
一句话经典语录
感悟人生的经典句子
短句吧
情感故事
抖音文案
伤感图片:
伤感图片带字
非主流伤感图片
唯美伤感图片
女生伤感图片
唯美意境图片
悲伤的图片
唯美意境伤感图片
只有字的伤感图片
说说图片
伤心的图片
美甲图片
图片大全
情感图片
微信头像男
动态壁纸
动漫配图
伤感图片
首页
>
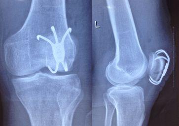
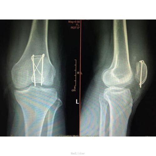
髌骨骨折内固定
髌骨骨折内固定,髌骨骨折晚上睡觉姿势
髌骨骨折切开复位克氏针张力带内固定术
髌骨骨折切开复位克氏针张力带内固定
髌骨骨折切开复位钢丝内固定术治疗一例
髌骨骨折这几种手术方法你都get了吗?
髌骨骨折微创空心钉张力带内固定
更多推荐
髌骨骨折晚上睡觉姿势
髌骨骨折康复训练步骤
髌骨骨折严重吗
髌骨骨折床边
髌骨骨折上髌骨爪图片
髌骨骨折手术
髌骨骨折术后睡觉姿势
髌骨骨折图片
髌骨骨折髌骨爪
髌骨骨折石膏固定
髌骨骨折长骨痂图
髌骨骨折
髌骨骨折支具固定图片
髌骨骨折移位图
髌骨骨折石膏固定图片
髌骨骨折石膏外固定图
髌骨骨折x片
髌骨骨折伤残
髌骨骨折x光片
髌骨骨折图片x片
髌骨骨折弯曲锻炼图
胫骨骨折石膏固定图片
髌骨骨折恢复时间表
髌骨骨折康复训练图谱
髌骨骨折术后康复训练
膝盖髌骨固定支具支架
髌骨骨折支具睡觉姿势
髌骨骨折正确垫腿图片
髌骨骨折石膏打法图解
髌骨骨折打石膏的图片