首页
伤感说说
动漫配图
心情说说
抖音文案
伤感图片
伤感说说:
伤感的句子说说心情
空间说说
心情说说
爱情说说
女生伤感说说
人生感悟
心情不好的说说
说说带图片
关于生活的说说
说说心情短语
qq空间说说带图片
个性说说
励志名言
一句话经典语录
感悟人生的经典句子
短句吧
情感故事
抖音文案
伤感图片:
伤感图片带字
非主流伤感图片
唯美伤感图片
女生伤感图片
唯美意境图片
悲伤的图片
唯美意境伤感图片
只有字的伤感图片
说说图片
伤心的图片
美甲图片
图片大全
情感图片
微信头像男
动态壁纸
动漫配图
伤感图片
首页
>
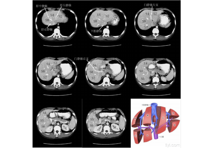
肝脏分段
肝脏分段,肝脏的五叶八段怎么记
收藏丨肝脏分叶分段的影像解剖
肝脏分叶分段的影像学解剖
2,对肝脏功能性分段和肝内管道结构区段性分布规律及其变异特点的
对比下系统解剖学上的肝分段
肝脏分段学习
更多推荐
肝脏的五叶八段怎么记
肝脏分段ct断面解剖图
肝脏分段 超声
肝叶分段口诀和图片
肝脏分叶分段
肝尾叶
肝脏分段8段CT
肝脏的韧带
肝脏尾状叶
肝血液循环
肝脏分段超声图
肝脏解剖分段图片
肝脏s6
肝脏五叶八段简图
肝脏s4段
CT肝脏分段
肝脏尾状叶解剖
肝脏分段ct图
肝分段b超解剖图
肝脏的8个分段超声图
肝脏8段分区立体图片
肝脏分段的解剖图谱
肝脏S8段
肝脏右后叶
肝脏分区8分法图
肝圆韧带
肝脏的8个分段图
超声肝脏工字征图解
肝脏血管解剖
肝脏分段解剖