首页
伤感说说
动漫配图
心情说说
抖音文案
伤感图片
伤感说说:
伤感的句子说说心情
空间说说
心情说说
爱情说说
女生伤感说说
人生感悟
心情不好的说说
说说带图片
关于生活的说说
说说心情短语
qq空间说说带图片
个性说说
励志名言
一句话经典语录
感悟人生的经典句子
短句吧
情感故事
抖音文案
伤感图片:
伤感图片带字
非主流伤感图片
唯美伤感图片
女生伤感图片
唯美意境图片
悲伤的图片
唯美意境伤感图片
只有字的伤感图片
说说图片
伤心的图片
美甲图片
图片大全
情感图片
微信头像男
动态壁纸
动漫配图
伤感图片
首页
>
小叶性肺炎CT
小叶性肺炎CT,大叶性肺炎CT
医学资料,用于学习 小叶性肺炎
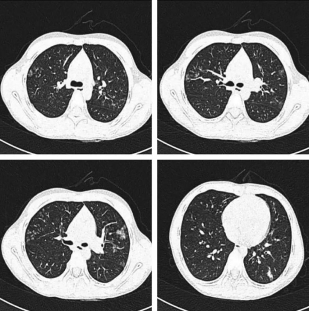
小叶性肺炎(支气管肺炎:以支气管为中心的小片状影.
这样的ct片,算肺炎吗?求助呀
肺炎ct图
双肺下叶多发树芽征,小叶中心结节灶麻疹病毒肺炎:双肺多发沿支气管
更多推荐
大叶性肺炎CT
病毒性肺炎CT
间质性肺炎CT
小叶性肺炎
小叶性肺炎胸片
小叶性肺炎x线
大叶性肺炎ct
小叶性肺炎x片
小叶性肺炎ct图片
小叶性肺炎大体
小叶性肺炎切片
小叶性肺炎绘图
小叶性肺炎手绘
小叶性肺炎图片
间质性肺炎ct
小叶性肺炎病理图
小叶性肺炎镜下图
大叶性肺炎
小叶性肺炎镜下特点
小叶性肺炎病理切片
肺炎ct
小叶性肺炎手绘图
支气管肺炎ct
小叶性肺炎图片标注
小叶性肺炎病理切片图
小叶性肺炎镜下观图片
新冠肺炎的肺ct图片
小叶性肺炎红蓝铅笔
小叶性肺炎病理手绘图
间质性肺炎ct图片