首页
伤感说说
动漫配图
心情说说
抖音文案
伤感图片
伤感说说:
伤感的句子说说心情
空间说说
心情说说
爱情说说
女生伤感说说
人生感悟
心情不好的说说
说说带图片
关于生活的说说
说说心情短语
qq空间说说带图片
个性说说
励志名言
一句话经典语录
感悟人生的经典句子
短句吧
情感故事
抖音文案
伤感图片:
伤感图片带字
非主流伤感图片
唯美伤感图片
女生伤感图片
唯美意境图片
悲伤的图片
唯美意境伤感图片
只有字的伤感图片
说说图片
伤心的图片
美甲图片
图片大全
情感图片
微信头像男
动态壁纸
动漫配图
伤感图片
首页
>
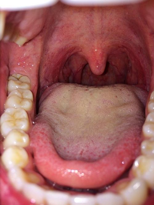
正常的扁桃体高清图片
正常的扁桃体高清图片,小孩扁桃体发炎的图片
分享能治扁桃体肥大的几种
广安门中医院刘冰解读:扁桃体炎患者应该注意什么
扁桃体肥大的分度及治疗方法讲解扁桃体肥大微创手术费用贵吗
知医|扁桃体总发炎,若一切了之,危害到底有多大?
正常人的扁桃体图片
更多推荐
小孩扁桃体发炎的图片
扁桃体怎么看
正常人的嗓子图片
正常的扁桃体 真人
正常人的喉咙结构图
发炎的扁桃体
扁桃体增生图片
扁桃体正常和发炎对比
扁桃体二度肿大
正常的扁桃体 儿童
扁桃体肿大怎么看
小孩扁桃体肥大的图片
扁桃体长啥样图片
正常扁桃体形状图片
扁桃体正常状态图片
扁桃体炎的图片
成人正常的扁桃体图片
扁桃体2度
扁桃体是在哪个位置
扁桃体的图片
健康扁桃体高清图片
扁桃体发炎图片 症状
健康扁桃体图片
扁桃体1度肿大
扁桃体肿大的症状
正常的扁桃体真人图片
扁桃体发炎照片对比
自己看扁桃体发炎图解
正常扁桃体图片 真实
扁桃体一度到三度图片