首页
伤感说说
动漫配图
心情说说
抖音文案
伤感图片
伤感说说:
伤感的句子说说心情
空间说说
心情说说
爱情说说
女生伤感说说
人生感悟
心情不好的说说
说说带图片
关于生活的说说
说说心情短语
qq空间说说带图片
个性说说
励志名言
一句话经典语录
感悟人生的经典句子
短句吧
情感故事
抖音文案
伤感图片:
伤感图片带字
非主流伤感图片
唯美伤感图片
女生伤感图片
唯美意境图片
悲伤的图片
唯美意境伤感图片
只有字的伤感图片
说说图片
伤心的图片
美甲图片
图片大全
情感图片
微信头像男
动态壁纸
动漫配图
伤感图片
首页
>
骨折部位
骨折部位,骨折手法复位
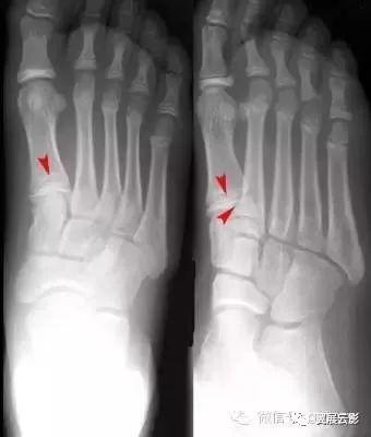
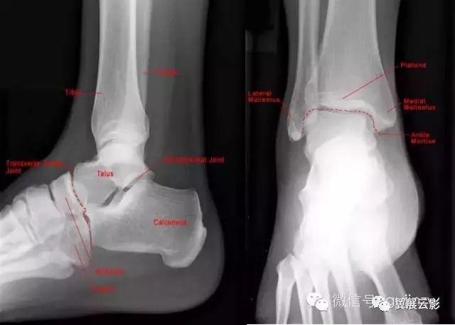
42张x线片带你读懂不同部位骨折
1发生骨折的原因有三种,一是直接暴力,比如暴力直接导致某部位骨折
桡骨小头压缩性骨折康复历程
42张x线片带你读懂不同部位骨折
股骨转子间骨折是指股骨颈基底部至小转子水平以上部位所发生的骨折
更多推荐
骨折手法复位
骨折绷带
骨折急救
骨折受伤
骨折住院
骨折真实
骨折女孩
骨折走路
胫腓骨骨折
跖骨骨折
颅底骨折部位
股骨骨折
胫骨平台骨折
肱骨髁上骨折
骨折
股骨粗隆间骨折部位图
脚踝骨折
手骨折
腿骨折
颅底骨折
青枝骨折
股骨粗隆间骨折
骨折病人
斜形骨折
粉碎性骨折
左股骨粗隆间骨折
骨折图片
股骨粗隆间骨折手术
身体部位
髋关节在哪个部位