首页
伤感说说
动漫配图
心情说说
抖音文案
伤感图片
伤感说说:
伤感的句子说说心情
空间说说
心情说说
爱情说说
女生伤感说说
人生感悟
心情不好的说说
说说带图片
关于生活的说说
说说心情短语
qq空间说说带图片
个性说说
励志名言
一句话经典语录
感悟人生的经典句子
短句吧
情感故事
抖音文案
伤感图片:
伤感图片带字
非主流伤感图片
唯美伤感图片
女生伤感图片
唯美意境图片
悲伤的图片
唯美意境伤感图片
只有字的伤感图片
说说图片
伤心的图片
美甲图片
图片大全
情感图片
微信头像男
动态壁纸
动漫配图
伤感图片
首页
>
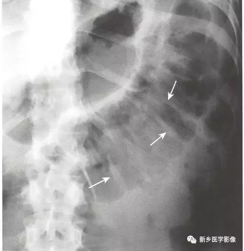
腹部平片鱼骨刺征
腹部平片鱼骨刺征,鱼骨刺
x线腹平片(立位)示肠腔内阶梯状液平b.
图14211空肠梗阻鱼骨刺样x线表现
如何看腹部平片
详细腹部平片解剖 正常表现 读片技巧 病例分析
3厘米鱼骨刺穿胃壁混入胰腺玩"潜伏,数字导航技术助力揪"真凶"
更多推荐
鱼骨刺
美短鱼骨刺图片
鱼骨刺图
鱼骨刺图案例
刀刺腹部
美短鱼骨刺
鱼骨刺图模板
美短鱼骨刺价格
刀刺腹部被捅
美短鱼骨刺加白
鱼骨刺猫图片
刀刺女生腹部
刀刺腹部实践
鱼骨刺猫
虎斑鱼骨刺
用刀刺美女的腹部
鱼骨刺猫不值钱
美短鱼骨刺猫
平刺
鱼骨
植物鱼骨刺花
人用刀刺进美女腹部
鱼骨刺猫为啥不值钱
鱼骨刺英短
鱼骨刺猫多少钱一只
剑刺入美女腹部
美女腹部被刺
鱼骨刺的编法图解步骤
鱼骨刺猫虎斑
鱼骨线