首页
伤感说说
动漫配图
心情说说
抖音文案
伤感图片
伤感说说:
伤感的句子说说心情
空间说说
心情说说
爱情说说
女生伤感说说
人生感悟
心情不好的说说
说说带图片
关于生活的说说
说说心情短语
qq空间说说带图片
个性说说
励志名言
一句话经典语录
感悟人生的经典句子
短句吧
情感故事
抖音文案
伤感图片:
伤感图片带字
非主流伤感图片
唯美伤感图片
女生伤感图片
唯美意境图片
悲伤的图片
唯美意境伤感图片
只有字的伤感图片
说说图片
伤心的图片
美甲图片
图片大全
情感图片
微信头像男
动态壁纸
动漫配图
伤感图片
首页
>
心尖五腔心切面
心尖五腔心切面,心尖五腔心切面图
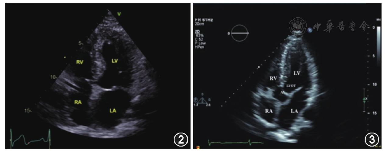
五,心尖四腔及五腔切面 探头放在外下,声束指向右肩,显示十字
点击查看大图 图2 心尖四腔心切面超声图像 图3 心尖五腔心切面超声
心尖五腔心切面.jpg
心脏超声的正常值
心脏超声诊断ppt
更多推荐
心尖五腔心切面图
心尖五腔心切面示意图
五腔心切面
心尖四腔心
超声心尖五腔心示意图
心脏五腔心切面图片
四腔心切面
四腔心切面图
心尖四腔心超声图解
心尖和心底
胎儿四腔心切面
剑突下四腔心切面
心脏超声切面
心尖
心尖上的你
心尖位置
心尖和心底的位置图
心尖部
心尖位置图片
心尖和心底的位置图片
心尖位置图
心尖搏动位置
切面
心尖搏动
心尖尖上的你简谱
心尖区
心尖搏动图
心脏切面手绘图
心尖上翘
横切面