首页
伤感说说
动漫配图
心情说说
抖音文案
伤感图片
伤感说说:
伤感的句子说说心情
空间说说
心情说说
爱情说说
女生伤感说说
人生感悟
心情不好的说说
说说带图片
关于生活的说说
说说心情短语
qq空间说说带图片
个性说说
励志名言
一句话经典语录
感悟人生的经典句子
短句吧
情感故事
抖音文案
伤感图片:
伤感图片带字
非主流伤感图片
唯美伤感图片
女生伤感图片
唯美意境图片
悲伤的图片
唯美意境伤感图片
只有字的伤感图片
说说图片
伤心的图片
美甲图片
图片大全
情感图片
微信头像男
动态壁纸
动漫配图
伤感图片
首页
>
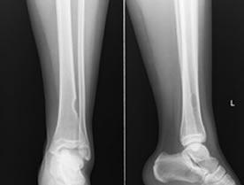
骨癌的前兆图片
骨癌的前兆图片,骨癌骨头图片
骨癌听说过没有?这4个表现很典型,并且还分为2种类型
早期骨癌一般是哪疼出现这些症状你就要注意了
正在加载骨癌
骨癌
骨肿瘤-5年
更多推荐
骨癌骨头图片
骨癌图片
骨癌的早期症状图片
骨癌晚期图片
灰指甲的前兆图片
骨癌ct图片
真实乳腺癌的前兆图片
乳腺癌的前兆图片大全
指甲黑线癌症前兆图片
鸡眼的图片前兆
骨癌的前兆是什么症状
灰指甲图片早期图片
肝癌的前兆
蛇缠腰前兆图片
长鸡眼的前兆图片
中风前兆舌头歪图片
女性肺癌前兆
灰指甲的前兆
骨癌骨头
骨癌片子
肺癌的早期症状和前兆
骨癌骨骼
骨癌症状
男人得性疾病前兆图片
痔疮的症状和前兆
骨癌的信号
骨癌初期
骨癌
宝宝要长牙的前兆图片
艾滋病皮肤前兆图片