首页
伤感说说
动漫配图
心情说说
抖音文案
伤感图片
伤感说说:
伤感的句子说说心情
空间说说
心情说说
爱情说说
女生伤感说说
人生感悟
心情不好的说说
说说带图片
关于生活的说说
说说心情短语
qq空间说说带图片
个性说说
励志名言
一句话经典语录
感悟人生的经典句子
短句吧
情感故事
抖音文案
伤感图片:
伤感图片带字
非主流伤感图片
唯美伤感图片
女生伤感图片
唯美意境图片
悲伤的图片
唯美意境伤感图片
只有字的伤感图片
说说图片
伤心的图片
美甲图片
图片大全
情感图片
微信头像男
动态壁纸
动漫配图
伤感图片
首页
>
股骨颈ct图片
股骨颈ct图片,股骨颈解剖图图片
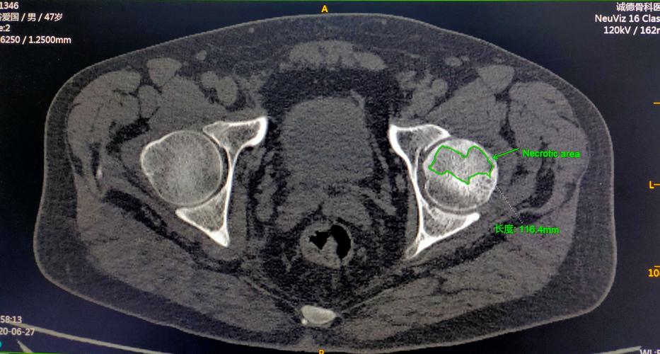
ct显示股骨头坏死区
双髋关节ct示:左股骨颈骨折
ct:股骨颈骨折头下型
股骨颈骨折 or 股骨头骨折
内黄县石盘屯乡卫生院ct室
更多推荐
股骨颈解剖图图片
股骨颈骨折图片
股骨颈图片
股骨颈骨折翻身图片
股骨颈骨折愈合图片
股骨颈骨折睡姿图片
股骨颈骨折解剖图
股骨颈解剖图
股骨颈在哪个位置图片
股骨颈骨
股骨颈位置图
股骨颈骨折
股骨颈骨折分型
股骨颈骨折在哪里
股骨颈手术
ct图片胸片
股骨颈疝窝
ct片子图片
股骨颈
股骨颈在哪里
股骨颈基底
股骨颈的位置示意图
ct图片全身
正常肺ct片图片图解
股骨颈前倾角示意图
股骨颈干角
ct图片
股骨颈在人体的位置图
股骨颈前倾角
ct图片腰间盘突出