首页
伤感说说
动漫配图
心情说说
抖音文案
伤感图片
伤感说说:
伤感的句子说说心情
空间说说
心情说说
爱情说说
女生伤感说说
人生感悟
心情不好的说说
说说带图片
关于生活的说说
说说心情短语
qq空间说说带图片
个性说说
励志名言
一句话经典语录
感悟人生的经典句子
短句吧
情感故事
抖音文案
伤感图片:
伤感图片带字
非主流伤感图片
唯美伤感图片
女生伤感图片
唯美意境图片
悲伤的图片
唯美意境伤感图片
只有字的伤感图片
说说图片
伤心的图片
美甲图片
图片大全
情感图片
微信头像男
动态壁纸
动漫配图
伤感图片
首页
>
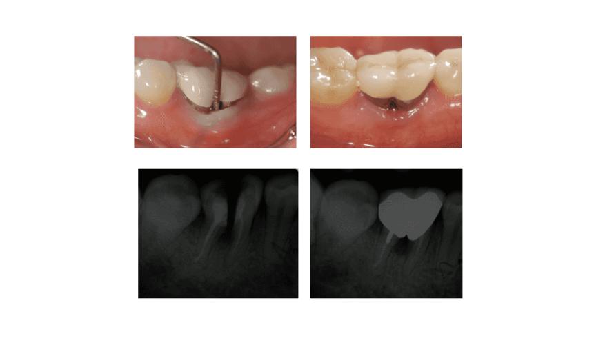
牙根分叉
牙根分叉,牙根分叉病变图片
原来牙根不是长在肉里的!
的口腔全景片显示,壮壮右下第一恒磨牙(也叫"六龄齿")牙根分叉已损坏
今天去医院拍了个六龄牙牙片,医生说牙根不行了,要拔掉再做治疗,我看
牙周病学根分叉病变
向远中弯曲的牙根.
更多推荐
牙根分叉病变图片
牙根分叉图片
牙根下面
牙根缝隙
牙根腐烂
根分叉
乳牙牙根
牙根
牙根管
烂牙根
拔牙根
智齿牙根
牙根发炎
牙根吸收
牙根发黑
牙根糜烂
牙根外露
牙根隐裂
牙根图片
乳牙牙根断里面的图片
分叉
牙根坏死的图片
牙根囊肿图片
牙根腐烂图片
龋齿烂到牙根的图片
牙根外露图片
牙根是什么样的图片
小便分叉
头发分叉
牙根发炎有脓包图片