首页
伤感说说
动漫配图
心情说说
抖音文案
伤感图片
伤感说说:
伤感的句子说说心情
空间说说
心情说说
爱情说说
女生伤感说说
人生感悟
心情不好的说说
说说带图片
关于生活的说说
说说心情短语
qq空间说说带图片
个性说说
励志名言
一句话经典语录
感悟人生的经典句子
短句吧
情感故事
抖音文案
伤感图片:
伤感图片带字
非主流伤感图片
唯美伤感图片
女生伤感图片
唯美意境图片
悲伤的图片
唯美意境伤感图片
只有字的伤感图片
说说图片
伤心的图片
美甲图片
图片大全
情感图片
微信头像男
动态壁纸
动漫配图
伤感图片
首页
>
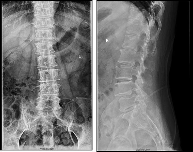
腰椎侧弯图片 x光
腰椎侧弯图片 x光,腰椎侧弯图片x光
腰椎正位: 多显示腰椎侧弯征,椎间隙宽度于病变早期多无改变;如病程
求会看x光片的大师们给看看这腰椎片有什么问题
专科检查:腰椎生理弯曲存在,腰椎活动度受限;腰4-5棘突及棘突旁压痛
儿童健康儿童脊柱侧弯暑假迎来就诊高峰67年龄最小患者仅4岁医生
下面这张x光片可以表示脊椎侧弯,从后面看腰椎棘突的连线像写一个「c
更多推荐
腰椎侧弯图片x光
腰椎突出图片x光图片
脊柱侧弯x光图片
腰椎侧弯图片
腰椎侧弯图片轻度
腰椎向左侧弯图片
腰椎侧弯图片矫正
腰椎侧弯20度图片
腰椎间盘突出x光图片
正常腰椎x光片图
腰椎侧弯支具图片
腰椎x光片
腰椎生理弯曲图片
腰椎向左侧弯示意图
腰椎向左侧弯锻炼图
胸椎侧弯20度图片
腰椎x光
腰椎图片构造图解
腰椎图片构造图解高清
腰椎图片位置示意图
腰椎图片构造图解真人
腰椎图片正常
腰椎图片
腰椎图片突出
脚踝x光图片
腰椎侧弯的自我矫正图
正常脚踝x光图片
腰椎侧弯
手腕x光图片
腰椎图片解剖