首页
伤感说说
动漫配图
心情说说
抖音文案
伤感图片
伤感说说:
伤感的句子说说心情
空间说说
心情说说
爱情说说
女生伤感说说
人生感悟
心情不好的说说
说说带图片
关于生活的说说
说说心情短语
qq空间说说带图片
个性说说
励志名言
一句话经典语录
感悟人生的经典句子
短句吧
情感故事
抖音文案
伤感图片:
伤感图片带字
非主流伤感图片
唯美伤感图片
女生伤感图片
唯美意境图片
悲伤的图片
唯美意境伤感图片
只有字的伤感图片
说说图片
伤心的图片
美甲图片
图片大全
情感图片
微信头像男
动态壁纸
动漫配图
伤感图片
首页
>
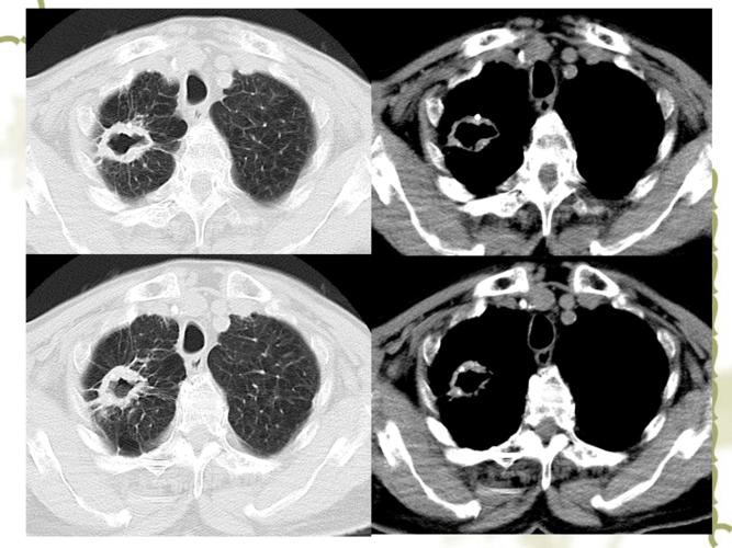
肺部图片空洞
肺部图片空洞,肺部图片钙化
肺部空洞的鉴别诊断
肺部ct检查:左肺空洞闭合了,病变缩小了,继续给予药物治疗.
肺部空洞样病灶的影像诊断 ppt
主任问:ct显示空洞,可能是哪些疾病?你怎么回答?
空洞型肺癌
更多推荐
肺部图片钙化
肺部图片胸片
肺部图片简笔画
肺部图片
肺部位置图片
空洞型肺结核
空洞骑士图片
肺部结构图
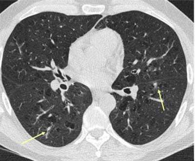
正常人的肺部ct图片
正常肺部ct图
肺部
肺部阴影
肺部结节
人体肺部结构图
人体肺部位置图
空洞
肺部位置
肺部肿瘤
肺部结构
肺部在哪个位置图解
肺部在哪个位置
正常肺部ct片
肺部人体
空洞真实
空洞指
抽烟人的肺部真实照片
肺部ct
肺部听诊
空洞骑士地图
空洞绝望