首页
伤感说说
动漫配图
心情说说
抖音文案
伤感图片
伤感说说:
伤感的句子说说心情
空间说说
心情说说
爱情说说
女生伤感说说
人生感悟
心情不好的说说
说说带图片
关于生活的说说
说说心情短语
qq空间说说带图片
个性说说
励志名言
一句话经典语录
感悟人生的经典句子
短句吧
情感故事
抖音文案
伤感图片:
伤感图片带字
非主流伤感图片
唯美伤感图片
女生伤感图片
唯美意境图片
悲伤的图片
唯美意境伤感图片
只有字的伤感图片
说说图片
伤心的图片
美甲图片
图片大全
情感图片
微信头像男
动态壁纸
动漫配图
伤感图片
首页
>
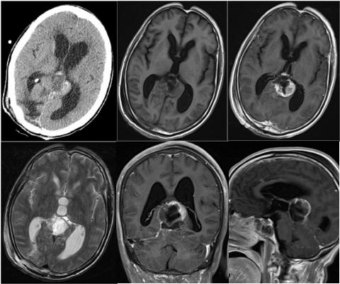
脑外瘤
脑外瘤,脑转移瘤
脑膜瘤的那些事
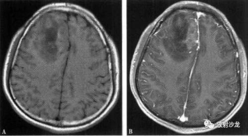
明显强化主要见于脑外肿瘤和胶质母细胞瘤.
常见囊性变和出血坏死,有包膜,属脑外肿瘤
松果体区脑膜瘤一例(神经肿瘤系列十六)---浙二神外周刊(第294期)
影像总结丨脑膜三件套——脑膜瘤,hpc/sft
更多推荐
脑转移瘤
小脑转移瘤
脑干肿瘤