首页
伤感说说
动漫配图
心情说说
抖音文案
伤感图片
伤感说说:
伤感的句子说说心情
空间说说
心情说说
爱情说说
女生伤感说说
人生感悟
心情不好的说说
说说带图片
关于生活的说说
说说心情短语
qq空间说说带图片
个性说说
励志名言
一句话经典语录
感悟人生的经典句子
短句吧
情感故事
抖音文案
伤感图片:
伤感图片带字
非主流伤感图片
唯美伤感图片
女生伤感图片
唯美意境图片
悲伤的图片
唯美意境伤感图片
只有字的伤感图片
说说图片
伤心的图片
美甲图片
图片大全
情感图片
微信头像男
动态壁纸
动漫配图
伤感图片
首页
>
膀胱占位
膀胱占位,膀胱位置
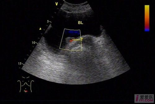
ct52814:膀胱占位
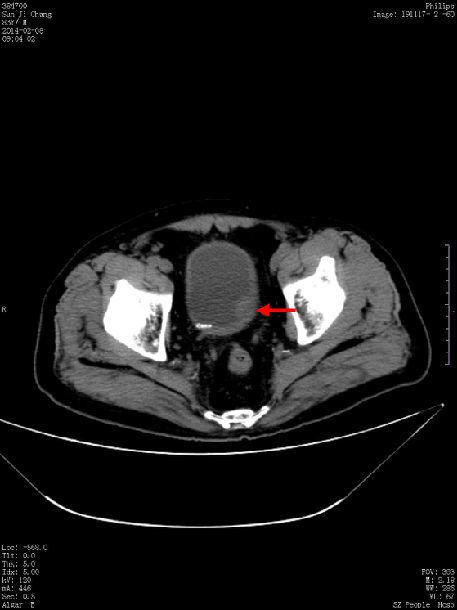
术前ct见膀胱左侧壁占位.
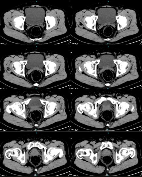
膀胱占位性病变
膀胱占位
ct48821:膀胱占位
更多推荐
膀胱位置
膀胱
膀胱经
占位
膀胱癌
膀胱结石
膀胱男性
占位器
膀胱女性
膀胱子宫
膀胱尿道
膀胱颈
女性膀胱位置
占位图
膀胱是哪个部位
膀胱经在哪里
膀胱图片
膀胱解剖
膀胱经走向
膀胱位置男图
膀胱在哪个位置图
驱鸟占位器
ui占位图
膀胱解剖图
app占位图
足太阳膀胱经
占位图白图
膀胱经的准确位置图
牙齿占位器
九宫格占位图