首页
伤感说说
动漫配图
心情说说
抖音文案
伤感图片
伤感说说:
伤感的句子说说心情
空间说说
心情说说
爱情说说
女生伤感说说
人生感悟
心情不好的说说
说说带图片
关于生活的说说
说说心情短语
qq空间说说带图片
个性说说
励志名言
一句话经典语录
感悟人生的经典句子
短句吧
情感故事
抖音文案
伤感图片:
伤感图片带字
非主流伤感图片
唯美伤感图片
女生伤感图片
唯美意境图片
悲伤的图片
唯美意境伤感图片
只有字的伤感图片
说说图片
伤心的图片
美甲图片
图片大全
情感图片
微信头像男
动态壁纸
动漫配图
伤感图片
首页
>
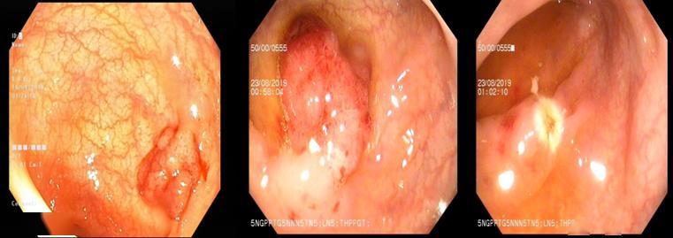
息肉有蒂和无蒂图片
息肉有蒂和无蒂图片,恶性肠息肉图片
根据息肉有无蒂,又可以分为有蒂息肉,亚蒂息肉和无蒂息肉(图13-3).
湘潭市中医医院肛肠科在肠镜下开展大肠息肉内镜下注射粘膜切除术
直径一般 1 cm,息肉多数是宽基底,>2 cm的息肉通常有蒂
升结肠无蒂大息肉emr治疗前后对比
你知道胃息肉吗?不,你不知道!
更多推荐
恶性肠息肉图片
胃腺瘤息肉的图片
息肉有蒂和无蒂图示
无蒂息肉图片
有蒂息肉图片
带蒂息肉图片
亚蒂息肉图片
无蒂息肉
息肉图片
子宫息肉图片
息肉图片早期
眼角息肉图片
直肠息肉图片
正常眼角内息肉图片
嘴巴里长息肉图片
口腔息肉图片
子宫息肉掉出来的图片
扁桃体息肉图片
牙息肉图片大全
牙齿长息肉图片
喉咙里面长息肉图片
肛门息肉图片
牙龈息肉图片
扁桃体旁边长息肉图片
息肉
月经里排出息肉图片
子宫息肉
肠息肉
宫颈息肉
宫腔息肉