首页
伤感说说
动漫配图
心情说说
抖音文案
伤感图片
伤感说说:
伤感的句子说说心情
空间说说
心情说说
爱情说说
女生伤感说说
人生感悟
心情不好的说说
说说带图片
关于生活的说说
说说心情短语
qq空间说说带图片
个性说说
励志名言
一句话经典语录
感悟人生的经典句子
短句吧
情感故事
抖音文案
伤感图片:
伤感图片带字
非主流伤感图片
唯美伤感图片
女生伤感图片
唯美意境图片
悲伤的图片
唯美意境伤感图片
只有字的伤感图片
说说图片
伤心的图片
美甲图片
图片大全
情感图片
微信头像男
动态壁纸
动漫配图
伤感图片
首页
>
子宫穿孔的彩超图片
子宫穿孔的彩超图片,子宫穿孔诊断书图片
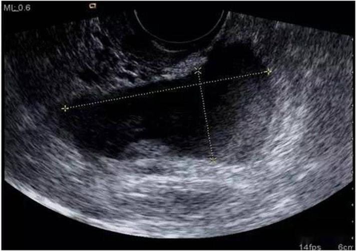
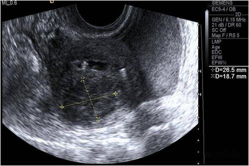
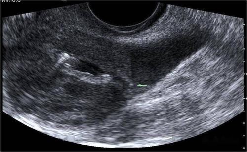
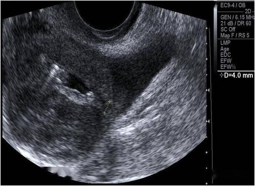
超声典型病例子宫穿孔
超声典型病例:子宫穿孔
超声典型病例:子宫穿孔
超声典型病例子宫穿孔
节育环"长肉里",别害怕,[内黄县二院·妇产科]轻松取出来!
更多推荐
子宫穿孔诊断书图片
子宫穿孔超声表现图
子宫穿孔b超报告图片
子宫穿孔b超图片
子宫穿孔超声图片
b超提示子宫穿孔图片
宫腔镜下子宫穿孔图片
子宫穿孔图片
子宫穿孔彩超下表现
腹腔镜下子宫穿孔图片
正常子宫彩超图
子宫穿孔
三个月胎儿图彩超图片
彩超图片
心脏彩超图片
怀孕9周胎儿彩超图片
四维彩超图片
彩超单子看男女图解
最明显的男宝宝彩超图
怀孕彩超
彩超单
彩超
孕16周胎儿小鸡彩超图
彩超真实
彩超检查
5d彩超
彩超机
阴式彩超
二维彩超
4维彩超