首页
伤感说说
动漫配图
心情说说
抖音文案
伤感图片
伤感说说:
伤感的句子说说心情
空间说说
心情说说
爱情说说
女生伤感说说
人生感悟
心情不好的说说
说说带图片
关于生活的说说
说说心情短语
qq空间说说带图片
个性说说
励志名言
一句话经典语录
感悟人生的经典句子
短句吧
情感故事
抖音文案
伤感图片:
伤感图片带字
非主流伤感图片
唯美伤感图片
女生伤感图片
唯美意境图片
悲伤的图片
唯美意境伤感图片
只有字的伤感图片
说说图片
伤心的图片
美甲图片
图片大全
情感图片
微信头像男
动态壁纸
动漫配图
伤感图片
首页
>
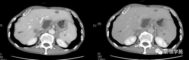
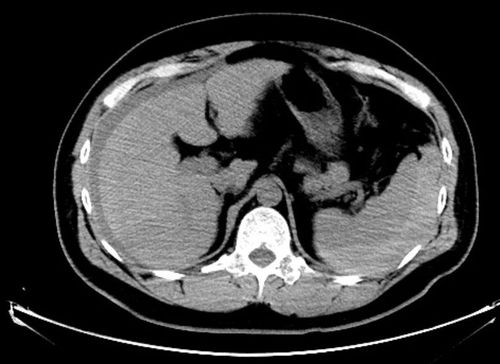
脾破裂ct影像
脾破裂ct影像,脾破裂ct
上腹部增强ct扫描脾脏破裂,出血
术前ct提示:脾破裂,肝周,脾脏周围积血
【病例】外伤性脾破裂1例ct影像表现
脾脏正常ct及常见疾病影像表现
脾脏疾病的ct诊断
更多推荐
脾破裂ct
脾破裂ct图片
脾破裂ct影像表现图片
脾破裂彩超
脾破裂手术
脾破裂
脾破裂B超
脾破裂超声图片
肝破裂ct
脾破裂的症状
脾破裂彩超图片
肝破裂ct影像表现图片
脾破裂ppt
ct影像
迟发性脾破裂
脾破裂图片
脾破裂分型图片
脾破裂的症状图片
膈疝ct表现影像图
真性脾破裂超声图片
脾破裂手术步骤图解
脑梗死ct影像
ct影像图片
腰椎正常ct影像图
肠梗阻的ct影像图
食管癌ct影像图片
肺癌ct影像表现特点
脑出血ct影像表现图片
肝硬化ct影像表现图片
正常的肺部ct影像图片