首页
伤感说说
动漫配图
心情说说
抖音文案
伤感图片
伤感说说:
伤感的句子说说心情
空间说说
心情说说
爱情说说
女生伤感说说
人生感悟
心情不好的说说
说说带图片
关于生活的说说
说说心情短语
qq空间说说带图片
个性说说
励志名言
一句话经典语录
感悟人生的经典句子
短句吧
情感故事
抖音文案
伤感图片:
伤感图片带字
非主流伤感图片
唯美伤感图片
女生伤感图片
唯美意境图片
悲伤的图片
唯美意境伤感图片
只有字的伤感图片
说说图片
伤心的图片
美甲图片
图片大全
情感图片
微信头像男
动态壁纸
动漫配图
伤感图片
首页
>
副脾有什么影响
副脾有什么影响,副脾是什么意思
脾脏切除后对身体影响大吗
副脾典型及不典型mri表现分析
【健康科普】副脾,一个你意想不到的备胎
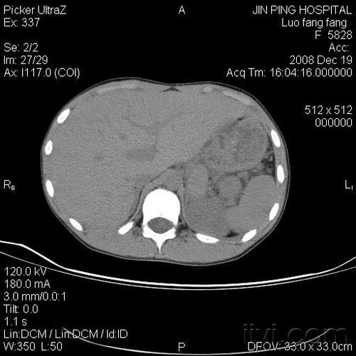
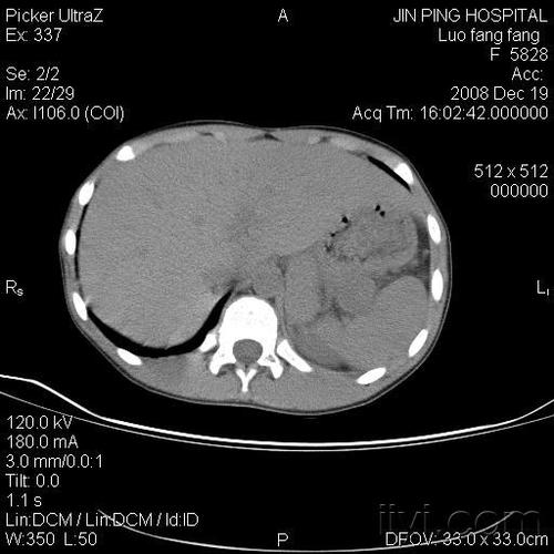
副脾
副脾
更多推荐
副脾是什么意思
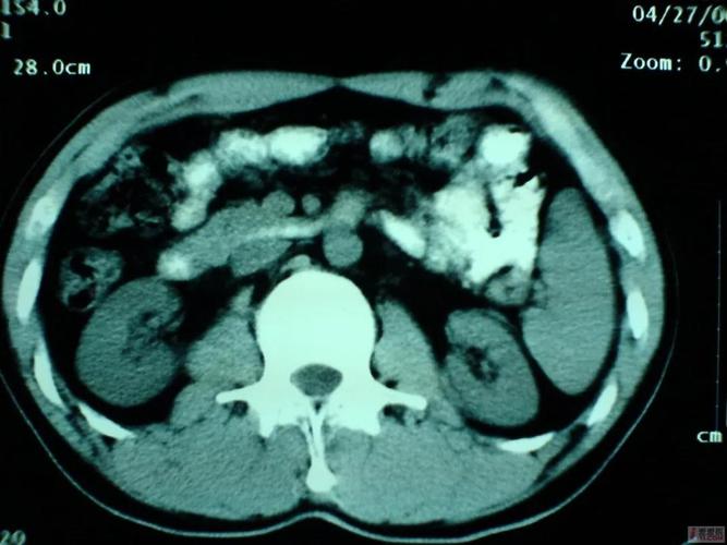
脾脏和副脾图片
副脾
副脾位置
副脾影像图片
副脾CT
副脾超声
副脾超声描述
副脾超声报告
副脾ct图片
副脾图片
副脾彩超图片
副脾超声图片
副脾的超声报告图
副脾的位置示意图
造成影响
影响
不影响
影响他人
积极影响
影响的意思
影响因素
社会影响
受影响
风险影响图
影响经济
影响日剧
影响图
个人影响力
影响日剧海报