首页
伤感说说
动漫配图
心情说说
抖音文案
伤感图片
伤感说说:
伤感的句子说说心情
空间说说
心情说说
爱情说说
女生伤感说说
人生感悟
心情不好的说说
说说带图片
关于生活的说说
说说心情短语
qq空间说说带图片
个性说说
励志名言
一句话经典语录
感悟人生的经典句子
短句吧
情感故事
抖音文案
伤感图片:
伤感图片带字
非主流伤感图片
唯美伤感图片
女生伤感图片
唯美意境图片
悲伤的图片
唯美意境伤感图片
只有字的伤感图片
说说图片
伤心的图片
美甲图片
图片大全
情感图片
微信头像男
动态壁纸
动漫配图
伤感图片
首页
>
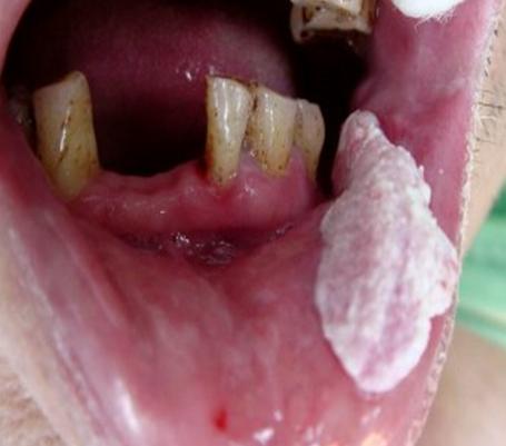
口腔病有哪些症状图片
口腔病有哪些症状图片,艾滋病口腔症状图片
艾滋病引起的口腔症状
口腔癌图片_口腔癌症状表现图片大全_有来医生
口腔癌图片_口腔癌症状表现图片大全_有来医生
口腔癌的症状和诊断标准是什么
口腔癌的早期症状图片
更多推荐
艾滋病口腔症状图片
口腔带状疱疹症状图片
儿口腔的症状图片
扁平苔藓口腔症状图片
手足口病口腔图片
口腔疱疹图片初期症状
口腔红斑初期症状图片
口腔梅毒图片和症状
艾滋口腔症状图片集
口腔血管瘤的症状图片
口腔苔藓症状与图片
幼儿口腔疱疹症状图片
口腔尖锐湿症状图片
口腔泡疹子的症状图片
艾滋病口腔症状
艾滋病口腔症状初期
口腔里有个血管瘤图片
口腔hpv感染的症状图片
白喉口腔图片初期
口腔疱疹图片
口腔癌红斑图片
口腔扁平苔藓图片
白喉口腔图片
小儿口腔疱疹图片
白喉初期症状图片
口腔扁平苔藓症状
梅毒口腔症状
艾滋病的九大口腔图
梅毒的症状和图片
疱疹性咽峡炎口腔图片