首页
伤感说说
动漫配图
心情说说
抖音文案
伤感图片
伤感说说:
伤感的句子说说心情
空间说说
心情说说
爱情说说
女生伤感说说
人生感悟
心情不好的说说
说说带图片
关于生活的说说
说说心情短语
qq空间说说带图片
个性说说
励志名言
一句话经典语录
感悟人生的经典句子
短句吧
情感故事
抖音文案
伤感图片:
伤感图片带字
非主流伤感图片
唯美伤感图片
女生伤感图片
唯美意境图片
悲伤的图片
唯美意境伤感图片
只有字的伤感图片
说说图片
伤心的图片
美甲图片
图片大全
情感图片
微信头像男
动态壁纸
动漫配图
伤感图片
首页
>
脱髓鞘病变图片
脱髓鞘病变图片,脱髓鞘图片
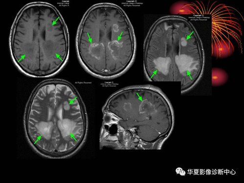
肿瘤样脱髓鞘病变影像特征以及鉴别诊断
脑白质疏松( la ) : 小动脉病变导致的白质纤维脱髓鞘;t2-f
脑脱髓鞘疾病的影像诊断
【ppt】脑脱髓鞘疾病的影像诊断
考虑脱髓鞘病变可能!是真的?需要怎样治疗?
更多推荐
脱髓鞘图片
轻度脑白质脱髓鞘改变
脑白质脱髓鞘病变
脱髓鞘
脱髓鞘核磁共振图
脱髓鞘疾病
脑白质和脑灰质图片
脱髓鞘病变
脱髓鞘病变症状
脱髓鞘病变ct
脑白质脱髓鞘图片
脱髓鞘改变
炎性脱髓鞘
脑白质脱髓鞘改变
黄斑病变图片
眼睛病变图片
脑白质脱髓鞘
鸡肝脏病变诊断图片
阴部白斑病变图片
脑白质脱髓鞘CT
指甲病变的各种图片
外阴白色病变的图片
病变猪肚图片
手指甲病变图片大全
脑白质病变
病变
病变猪肚的内壁图片
皮肤病变
黄斑病变
早上好图片最新图片