首页
伤感说说
动漫配图
心情说说
抖音文案
伤感图片
伤感说说:
伤感的句子说说心情
空间说说
心情说说
爱情说说
女生伤感说说
人生感悟
心情不好的说说
说说带图片
关于生活的说说
说说心情短语
qq空间说说带图片
个性说说
励志名言
一句话经典语录
感悟人生的经典句子
短句吧
情感故事
抖音文案
伤感图片:
伤感图片带字
非主流伤感图片
唯美伤感图片
女生伤感图片
唯美意境图片
悲伤的图片
唯美意境伤感图片
只有字的伤感图片
说说图片
伤心的图片
美甲图片
图片大全
情感图片
微信头像男
动态壁纸
动漫配图
伤感图片
首页
>
膀胱颈口硬化
膀胱颈口硬化,膀胱颈口
膀胱颈口硬化
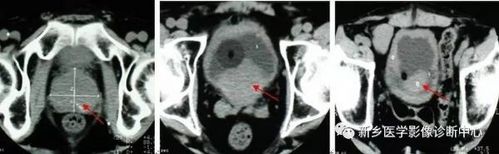
膀胱异常,应想到这18种膀胱病变!
疑难病例手记(四)
尿道内口开口于膀胱颈还是膀胱体
膀胱颈挛缩
更多推荐
膀胱颈口
膀胱出口膀胱颈解剖图
膀胱颈
男性膀胱颈
膀胱颈女性
膀胱颈抬高
膀胱颈解剖
膀胱颈挛缩
女性膀胱颈梗阻
膀胱颈部
膀胱颈解剖图
膀胱颈位置图片
女性膀胱颈位置图片
膀胱颈部解剖图
肝早期硬化
膀胱颈的解剖结构图
血管硬化
动脉硬化
角质硬化症
路面硬化
主动脉硬化
冠状动脉硬化
角质硬化症图片
皮肤硬化症图片
皮肤硬化
水泥硬化
地面硬化
冠状动脉粥样硬化
硬化萎缩性苔藓图片
硬化性苔藓图片