首页
伤感说说
动漫配图
心情说说
抖音文案
伤感图片
伤感说说:
伤感的句子说说心情
空间说说
心情说说
爱情说说
女生伤感说说
人生感悟
心情不好的说说
说说带图片
关于生活的说说
说说心情短语
qq空间说说带图片
个性说说
励志名言
一句话经典语录
感悟人生的经典句子
短句吧
情感故事
抖音文案
伤感图片:
伤感图片带字
非主流伤感图片
唯美伤感图片
女生伤感图片
唯美意境图片
悲伤的图片
唯美意境伤感图片
只有字的伤感图片
说说图片
伤心的图片
美甲图片
图片大全
情感图片
微信头像男
动态壁纸
动漫配图
伤感图片
首页
>
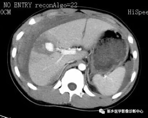
肝破裂ct
肝破裂ct,肝囊肿ct
五,肝破裂出血
ct诊断:高度怀疑肝左内叶肝破裂. 手术
腹部外伤肝破裂
查体可见小朋友右侧肋弓处皮肤擦伤,ct片示右肝叶破裂,裂口长达8
正常肝脏ct解剖ppt
更多推荐
肝囊肿ct
肝血管瘤ct
肝破裂
肝癌ct
脑梗死ct
肝破裂ct图片
肝破裂ct影像表现
肝脏破裂ct图片
肝破裂b超图
肾破裂ct图片
肝破裂ct影像表现图片
肝脏破裂出血ct图片
肝破裂的超声声像图
肝破裂超声表现图片
脾破裂ct影像表现图片