首页
伤感说说
动漫配图
心情说说
抖音文案
伤感图片
伤感说说:
伤感的句子说说心情
空间说说
心情说说
爱情说说
女生伤感说说
人生感悟
心情不好的说说
说说带图片
关于生活的说说
说说心情短语
qq空间说说带图片
个性说说
励志名言
一句话经典语录
感悟人生的经典句子
短句吧
情感故事
抖音文案
伤感图片:
伤感图片带字
非主流伤感图片
唯美伤感图片
女生伤感图片
唯美意境图片
悲伤的图片
唯美意境伤感图片
只有字的伤感图片
说说图片
伤心的图片
美甲图片
图片大全
情感图片
微信头像男
动态壁纸
动漫配图
伤感图片
首页
>
肺结节 钙化灶
肺结节 钙化灶,肺结节钙化灶
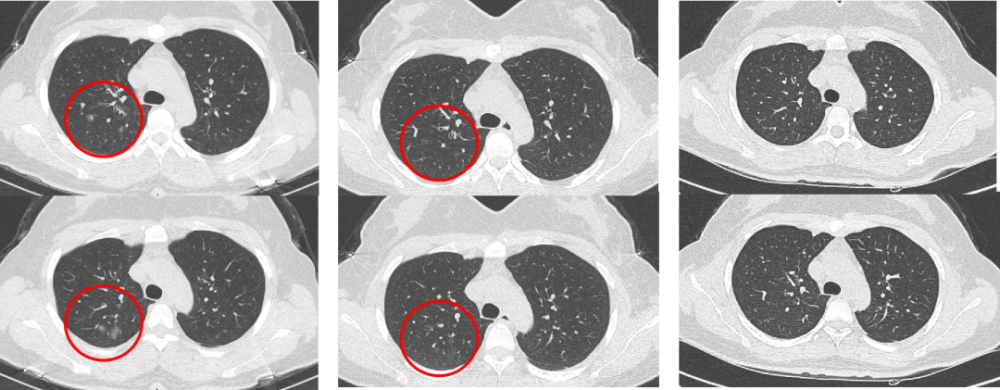
肺结节读片15不太靠谱的肺结节血管通过
肺钙化灶
肺结节与钙化灶区别
单发肺结节和多发肺结节哪个更可能是癌如果多个肺结节都是癌可怕吗
刘懿博士说肺癌二八〇七肺结节钙化周围有软组织影要警惕肺癌
更多推荐
肺结节钙化灶
肺结核钙化灶
肺钙化灶
肺钙化灶图片
肺钙化灶是什么意思
肺钙化
肺部结节
肺结节良性
钙化灶
肺结节片子
乳腺钙化灶
肝钙化灶
前列腺钙化灶
肺磨玻璃结节
胸片钙化灶
肝内钙化灶
乳腺钙化灶图片
前列腺钙化灶清晰
钙化灶是什么意思
钙化灶图片
前列腺钙化灶严重吗
肝钙化灶是什么意思
结节
前列腺钙化灶什么意思
肝内钙化灶图片
乳腺增生结节
乳腺结节
肝钙化灶图片b超
乳腺结节三类
乳腺小结节三类