首页
伤感说说
动漫配图
心情说说
抖音文案
伤感图片
伤感说说:
伤感的句子说说心情
空间说说
心情说说
爱情说说
女生伤感说说
人生感悟
心情不好的说说
说说带图片
关于生活的说说
说说心情短语
qq空间说说带图片
个性说说
励志名言
一句话经典语录
感悟人生的经典句子
短句吧
情感故事
抖音文案
伤感图片:
伤感图片带字
非主流伤感图片
唯美伤感图片
女生伤感图片
唯美意境图片
悲伤的图片
唯美意境伤感图片
只有字的伤感图片
说说图片
伤心的图片
美甲图片
图片大全
情感图片
微信头像男
动态壁纸
动漫配图
伤感图片
首页
>
头部ct图片
头部ct图片,脑部ct照片真实
影像医生必须掌握的头颅ct解剖与常见出血梗死判读
6 个病例学会"脑梗死"的 4大ct 征象
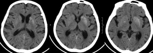
超急性期大面积脑梗死 ct 平扫表现
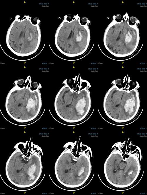
头部 ct (来源:作者提供)
ct提示左侧基底节,丘脑,颞叶,枕叶广泛性脑出血.
更多推荐
脑部ct照片真实
头部ct图片 解剖
头部ct图片血块
头部ct图片结果
CT图片大全
头部x光片
正常人头部ct图片
面部ct图片
头部ct真实
颈椎ct图片
头部片子的图片
脑出血头部ct图片
肺部ct图片
头部ct图片片子
头部ct图片高清
头颅CT图片
正常人脑部ct高清图片
头部ct图片正常
头部ct真实图片
ct片子图片
ct图片胸片
头部ct正常结果图片
ct图片全身
ct图片
头部ct解剖图片大全
头部ct
头部ct侧面
正常头部ct
正常脑ct图片
头部ct诊断报告单图片